查看: 16613|回复: 0

脑动脉供血区域图示

[复制链接]

636

主题

449

回帖

80

日志

管理员

积分
5853
QQ
发表于 2019-4-26 18:54:45 | 显示全部楼层 |阅读模式
红色ACA:大脑前动脉
黄色MCA:大脑中动脉
绿色PCA:大脑后动脉
蓝色PICA:小脑后下动脉
紫色AICA:小脑前下动脉
灰色SCA:小脑上动脉
浅蓝Branches from Vertebral arteries:椎动脉分支
墨绿Branches from Basilar artery:基底动脉分支
天蓝ACHA:脉络膜前动脉
橙色LSA:豆纹动脉

7eb48a83d990ddcfee250df6b419b147.gif

66ae84827db5b68071451394de18c69a.gif
小脑后下动脉梗塞

049407cca69df20d05fdb709694f623a.gif

4fb5cd94b2e9668f16dd6172a8d030d9.jpg

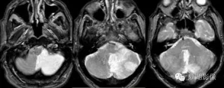
小脑上动脉梗塞


65fad851087608397671532d353a4d7b.jpg

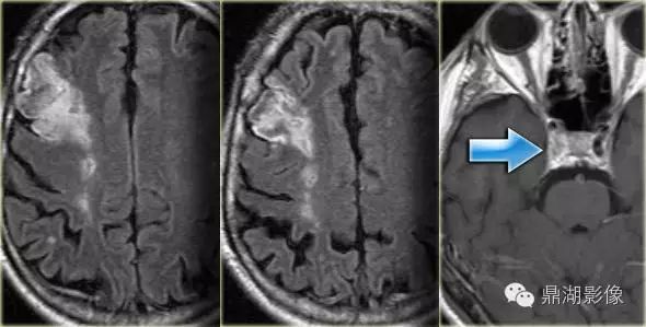
大脑前动脉梗塞

A1:起始部—前交通动脉,发出内侧豆纹动脉,供应尾状核头部和内囊前肢
A2:前交通动脉——胼周动脉——胼缘动脉
A3:皮层支


8be3878cf56b252dfbde23d2cdff9e4f.jpg

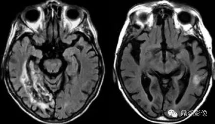
脉络膜前动脉梗塞

脉络膜前动脉由颈内动脉发出,供应海马,内囊后肢及其外侧


d4a074e938e451b8a6672cf3a2243eaa.jpg

大脑中动脉梗塞(同时累及深穿支及皮层支)


a345d755a0bb4289fe7ce0f3edc883ef.jpg
大脑后动脉梗塞(大脑后动脉供应丘脑、枕叶、中脑)


bd3aa55525aad65019d45b62f9cc5624.jpg

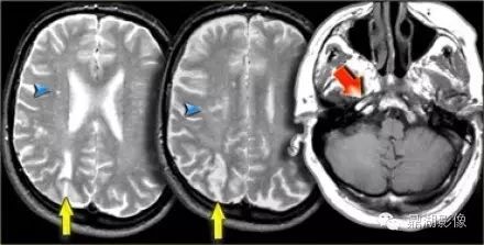
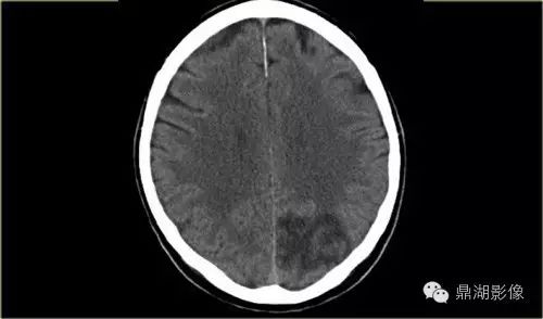
分水岭梗塞(外分水岭和内分水岭)

ce41b2b33f038df087e0d5b30c3599e4.jpg



27fb25c2635cf29aecc06190d65fd437.jpg

8a0a4f25436e2452b0c43e34322d9569.jpg

a29a0495fc5d1e4e067771bc70e00055.jpg

SSS:上矢状窦
Vein of Labbe:labbe静脉-汇入横窦
Inernal cerebral veins:大脑内静脉-汇入Galen静脉
Sphenoparietal sinus:蝶顶窦-汇入海绵窦

46ea7b7d0f73fe26c032e5db2b5dbe24.jpg



回复 关闭延时

使用道具 举报

您需要登录后才可以回帖 登录 | 注册  

本版积分规则

快速回复 返回顶部 返回列表