查看: 11990|回复: 0

[腹盆] 腹膜后占位影像诊断病例详细解读

[复制链接]

864

主题

373

回帖

299

日志

荣誉会员

积分
7050
QQ
发表于 2025-1-26 17:20:20 | 显示全部楼层 |阅读模式
本帖最后由 hyc3140 于 2025-1-26 20:15 编辑

起源于腹膜后软组织的原发性肿瘤很少见(即在实体腹膜后器官外,如肾脏、肾上腺和部分小肠、大肠),肿瘤多为恶性,且体积较大。
原发性实性腹膜后肿瘤可根据其原发的软组织成分(例如脂肪细胞、平滑肌、纤维母细胞、神经源性或骨骼肌)进行分组和体现;另外还有一些需简要讨论原发性囊性腹膜后肿瘤和一些不属于上述类别的其他肿瘤或占位。
我们先从腹膜后间隙的解剖开始。
第一部分  腹膜后间隙的解剖
腹膜后间隙(Retroperitoneal space,RS)是壁腹膜和腹横筋膜之间的解剖间隙及其解剖结构的总称,是充满脂肪、结缔组织和筋膜的潜在间隙;其前界为壁腹膜,后界为腰大肌和腰方肌筋膜,上界为横膈,下达盆底筋膜,两侧为侧锥筋膜;上起自膈,下至骶骨岬,两侧向外连接于腹膜下筋膜。此间隙上经腰肋三角与后纵隔相通,下与盆腔腹膜后间隙相延续。

31a913afa43c799e41a50f0301f7a9d9.png 图 1:腹腔和腹膜后解剖示意图(胰腺水平)

95c75b2d1a78548abf3813b54e23dfec.png 图 2:腹膜后解剖示意图(胰腺水平)

d5ff0ee6be2120bbcbbefcb6bd74d7de.png 图 3:腹膜后间隙的横、矢、冠状位示意图


14982c2470a2fd66fdf262c95362cdd8.png
图 4:腹膜后间隙与邻近组织的精细解剖示意图 - 第2腰椎水平
以肾前筋膜(Gerota筋膜)和肾后筋膜(Zuekerkandl筋膜)为分界线,将腹膜后间隙分为肾旁前间隙、肾周间隙和肾旁后间隙。

b4607d7c85e765b30e93581630e601b8.png 图 5:肾前筋膜、肾后筋膜和侧锥筋膜的CT影像

f42d71193ecfd64ed162e420211551d2.png 图 6:肾筋膜前后叶示意图

09853fe6ac38cd533c70f7ea77cb8f03.png 图 7:肾周前间隙、肾周间隙和肾旁后间隙的横、矢状位示意图
21f53a188bd133e783681743067ee8c7.png 图 8:腹膜后间隙分为肾旁前间隙、肾周间隙和肾旁后间隙(矢状位)

肾旁前间隙(Anterior pararenal space,APRS):是后腹膜与肾前筋膜之间的区域,侧方为侧锥筋膜;此间隙向上延伸至肝脏裸区,向下经髂窝与盆腔腹膜后间隙相通。内包括升、降结肠,十二指肠和胰腺。
肾周间隙(Perirenal space,PRS):为肾前筋膜与肾后筋膜之间的区域,该区域向上与横膈相附着,外侧与侧锥筋膜相融,下方肾筋膜前后两层与髂筋膜及输尿管周围的结缔组织疏松融合或相连,因此,此间隙下部与髂窝相通;肾前筋膜越过主动脉和下腔静脉的前方与对侧肾前筋膜连续,肾后筋膜向后内附着于腰椎体。内包括肾、输尿管、肾上腺及其周围脂肪(脂肪囊)。
肾旁后间隙(Posterior pararenal space,PPRS):是位于肾后筋膜与覆盖腰大肌和腰方肌前面的髂腰筋膜之间的区域,内部为脂肪组织、腰交感神经干、乳糜池和淋巴结等,无脏器结构。

eae492ddcb298dc49b01878841875622.png 图 9:腹膜后分为肾旁前间隙(绿色)、肾周间隙(黄色)、肾旁后间隙(红色)

7b403052fd0eec224d9ab524d8080a87.png 图 10:肾旁前间隙、肾周间隙和肾旁后间隙的边界以及内部组织器官(a) 腹膜后间隙从膈上延伸到骨盆下方,位于后壁腹膜前与腹横筋膜之间肾筋膜分为肾前、肾周和肾后间隙三个基本成分。(b) 肾旁前间隙:前侧为后壁腹膜;后侧为前肾筋膜(Gerota筋膜);外侧为圆锥外侧筋膜。其内包含胰腺,十二指肠降部及结肠(升、降结肠)等组织。(c) 肾周间隙:肾前筋膜和肾后筋膜之间,此间隙内有肾、输尿管上段和肾上腺等组织。(d) 肾旁后间隙:前侧为肾后筋膜(Zuckerkandl筋膜);后侧为腹横筋膜;外侧为圆锥外侧筋膜。其内无实质性脏器,主要包含脂肪、结缔组织、神经等组织。(e,f) 肾旁前、后间隙合并在肾的下方。

c59154b91aa3e4f3e07c143c4556334e.png 图 11:腹膜后间隙(左侧腹膜后间隙上部的分区和筋膜)- 第1腰椎水平

ba500eb875a305e71c01af448b3ca6a5.png 图 12:腹膜后间隙(左侧腹膜后间隙中部的分区和筋膜)- 第3腰椎水平

5d2bf369a5d64479ffab89be33e9dc0a.png 图 13:腹膜后间隙(左侧腹膜后间隙下部的分区和筋膜)- 第5腰椎水平

18043d43826a3cb6cf6aff0244b54a67.png 图 14:腹膜后大动脉及腹膜后组织器官示意图第二部分  腹膜后肿瘤的定位
腹、盆腔内的脏器根据器官与腹膜的关系可分为腹腔内位器官、腹膜间位器官和腹膜外位器官三大类。

d9c3d118c209557c11cd37e651048f38.png
图 15:腹膜内位、间位和外位器官示意图
c41f669f74dfef6dfc54749749f209b0.png 图 16:腹膜与腹、盆腔脏器的关系

腹膜后脏器(如肾脏,肾上腺,输尿管,升、降结肠,胰腺,部分十二指肠)外移,前移表明肿瘤起自腹膜后间隙。
肠管(十二指肠降部、水平部及升结肠、降结肠)前移,无肠管包绕,则提示肿瘤位于腹膜后间隙,而腹腔内肿块常见肠管包绕。
腹膜后血管(如腹主动脉、下腔静脉、肾静脉、脾静脉)的外移前移或肿块相互包裹,脾静脉是左上腹肿瘤定位腹腔或腹膜后的重要标志,腹膜后肿瘤位于脾静脉后方,将其向前推移,反之亦然。
肿瘤与腹壁、盆壁肌肉及脊柱的关系,腹膜后间隙肿瘤与相邻后腹壁或盆壁肌肉间的脂肪间隙不清或消失,脊柱直接受侵犯、腰大肌受压变形。
肿瘤与相邻腹腔内器官之间的脂肪间隔存在,提示肿瘤源于腹膜后。
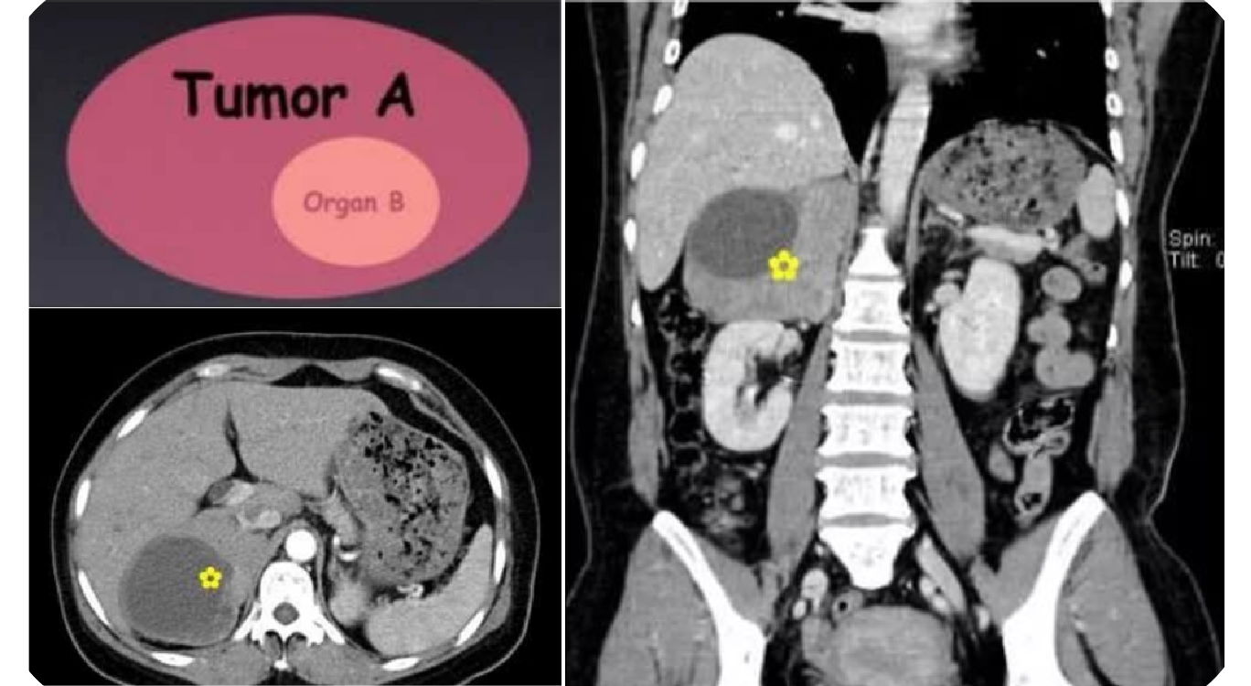
当位于腹膜后间隙的肿瘤侵犯邻近脏器时,可致该脏器变形移位,但肿瘤中心和大部分轮廓不在受累器官内。
判断占位灶与腹膜后器官的关系,可以注意把握鸟嘴征(Claw sign),也叫喙(爪)征、内嵌器官征(Embedded organ sign)、器官隐匿征(Phantom organ sign),也叫幻影(无形)器官征、供血血管征(Prominent feeding artery sign)等。
8025b813c80350d5bcd8cb5bd2b6f231.png
图 17:腹膜后(器官)占位的几个特征性征象

(a) 鸟嘴征:当肿块将相邻器官的边缘变为“喙”形状时,该肿块很可能是从该器官产生的。(b,c) 内嵌器官征:当肿瘤对邻近可塑形器官(胃肠道、下腔静脉)压迫形成新月形,说明起源于器官外(b);当邻近器官看起来部分嵌入肿瘤内,说明肿瘤起源于受累器官(c)。(d) 器官隐匿征:当一个大的肿块从一个小的器官中产生时,这个器官有时会变得无法察觉。(e,f) 明显供血动脉征:富血供肿块通常可以在CT上找到供血动脉,这一发现为肿块起源的判断有所帮助。

1b5cf1da21433291700e305725d2e453.png
图 18:鸟嘴征 实质器官与相邻肿块的接触面的形状成尖锐的鸟嘴样


9f275a9f99b664d987fc902a6a1d9de4.png
图 19:器官包埋征 起源空腔器官包裹肿瘤



a55e99729aa1a90d4b09df788b8e6a76.png
图 20:器官隐匿征 肿瘤造成起源器官的消失



827dc14c5e31083a4697fd385ba395a0.png
图 21:供血血管征 通过供血动脉识别肿瘤的起源器官

此处插入两个征象,即杯口征和劈裂征,可以用于判断肿瘤的生长的方式以及良恶性,适用于肾脏肿瘤的判断。

杯口征是肿瘤边缘的肾实质向上杯样翘起形成的,可能与肿瘤的良性缓慢生长对相邻肾实质的挤压有关,而肾癌呈浸润性生长,相邻肾实质组织被侵蚀破坏,不易形成隆起。

5ff66f2b0b2568d42c1bd3f496501bb9.png
图 22:杯口征

劈裂征的出现也可能与肿瘤的生长方式相关,良性肿瘤对周围组织的浸润能力低,所以会向被膜下、肾小叶间等相对阻力低的方向生长,肿瘤与相邻肾脏交界显得平直,在断面影像上呈“劈裂”状;而恶性肿瘤具有浸润性,所受周围组织的阻力会相对平均,向各方向的浸润性生长程度相似,因此多显示为类圆形的边界。

44b5e1c4d999816d52da658af21161fa.png
图 23:劈裂征


腹腔内肿瘤受到占位灶体积的影响,过大的肿瘤常常难以判断肿瘤的来源,因此,若要准确诊断肿瘤的性质,首先得抓住几个重要的特征性影像表现,上述提到的征象能方便快速地定位腹膜后肿瘤,在此基础上,再根据肿瘤实质部分的构成对肿瘤进行定性诊断。
因此,通过对肿瘤进行定位和定性诊断,我们可以快速缩小鉴别诊断的范围,同时,结合患者的临床资料,对肿瘤作出明确诊断。


0360ba522d7d0f296f60378b9aa5c128.png
图 24:腹膜后占位(肿瘤)定位和定性诊断的方法

例如脂肪类肿瘤常生长在肾周间隙;神经类肿瘤好发于脊柱旁;节细胞神经瘤、副神经节瘤发生在腹主动脉肠系膜动脉后下方;畸胎瘤多在腹膜后间隙上部、肾脏上方;淋巴瘤及转移瘤多围绕大血管生长,形成“包埋”征象;侵袭性纤维瘤向周围组织浸润性生长,淋巴瘤有沿缝隙生长的特性。
有关腹膜后肿瘤的定性诊断,特别是一些发病率排在前列的肿瘤,我们将在以下各部分内容中作详细阐述,并在最后作总结。由于部分腹膜后占位的病例难以获得,文中有极少部分肿瘤会参考其他部位该病变的影像表现,读者可酌情参考。下一部分为腹膜后肿瘤的大体分类和典型的影像特征,为同行所提供,放于此方便查找比较。
第三部分  腹膜后肿瘤的分类
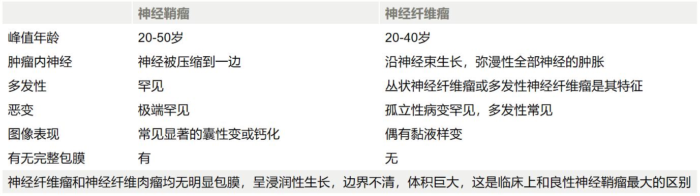
腹膜后肿瘤大多为恶性(70%),以肉瘤多见,约占腹膜后肿瘤的2/3,腹膜后良性肿瘤较少。根据肿瘤组织学分类,间叶组织肿瘤最多,占20%-60%,其次是神经源性肿瘤,占10%-30%,随后是淋巴组织,胚胎残留组织肿瘤约占10%,以及来源不明性肿瘤。

e31e949197a0c3f992abd26ea4973fe2.png 图 25:肿瘤组织学分类及常见的良恶性肿瘤
腹膜后肿瘤主要来自于腹膜后间隙的神经、血管、淋巴组织、脂肪组织纤维组织、肌肉、筋膜等。并不包括源于腹膜后间隙的各器官(肾脏、肾上腺、胰腺及输尿管等)的肿瘤。为方便学习,本文中有少量病例涉及到腹膜后器官,例如肾上腺等,甚至肠系膜肿瘤。脂肪源性肿瘤平滑肌源性肿瘤骨骼肌源性肿瘤神经源性肿瘤纤维母细胞源性肿瘤脉管源性肿瘤生殖源性肿瘤其他占位(肿瘤/良性病变)腹膜后常见肿瘤有以上八个大类,每个大类有若干病种,在实际临床工作中,大多数罕见病例我们不会遇到,即使遇到也难以从影像征象中获得有效的鉴别诊断要点。下图是各大分类中较为常见的一些病种以及总结的简要临床和影像鉴别要点。单一影像常常难以独自完成对腹膜后肿瘤的诊断,一般需要多学科特别是多种影像资料的综合判断和相互印证。腹膜后肿瘤大多数影像表现缺乏特异性,最终确诊仍然依赖病理。


0d319c628e243a81f35f21e20c010d9a.png

图 26:腹膜后常见占位(肿瘤)的临床和影像特点


第四部分  脂肪源性肿瘤

发生于腹膜后间隙的恶性肿瘤以脂肪肉瘤(Liposarcoma,LPS)最多,由于腹膜后空间大,早期常没有症状,只有在肿瘤长到相当大并推压或侵犯周围脏器时,才出现相应的临床表现。
脂肪肉瘤的临床表现主要为腹部包块和腹痛。高发年龄在40-70岁中老年人,男性多见。
根据脂肪细胞分化程度以及纤维和粘液组织成分多少分为三类:① 以脂肪成分从多到少排列:脂肪肉瘤 > 粘液样脂肪肉瘤 > 混合型脂肪肉瘤② 按脂肪分化由高到低排列:脂肪肉瘤 > 粘液样脂肪肉瘤 > 混合型脂肪肉瘤
但腹膜后脂肪源性肿瘤远不止以上三种分类,根据影像表现中肿瘤组织中脂肪成分含量的变化和分化程度的不同,脂肪源性肿瘤大体可通过影像特征区分以下几类。
脂肪瘤:含有脂肪的肿块,无/微量内部复杂成分;腹膜后罕见,即使没有内部复杂成分,也应考虑为分化良好的脂肪肉瘤。
高分化脂肪肉瘤:主要含有脂肪,具有厚的分隔和软组织结节(通常≥1 cm);最常见的原发性腹膜后肉瘤,没有转移的可能性,但由于局部复发的高风险和退化为去分化脂肪肉瘤的可能性,长期存活率差。
未分化型脂肪肉瘤:含有脂肪,内部复杂性增加;有转移的可能,可能起源于先前存在或目前分化良好的脂肪肉瘤中。
粘液型脂肪肉瘤:脂肪稀少,通常存在于分隔或小结节中;不同含量的粘液组织,T2WI呈高信号,病灶强化程度不一;容易转移到不常见位置的软组织和骨骼。  
多形型脂肪肉瘤:微量或无可见脂肪;密度不均匀,伴有坏死和/或出血;侵袭性肿瘤;可早期转移至肺部(75%)。
病例示例:

88d5ba57e49bca6d195e17805391eaf5.png
病例 1:脂肪瘤  34岁女性,长期左下腹疼痛、频繁排便和尿急
(a, b) 轴位增强 CT (a) 和对比增强 T1WI-fs (b) 显示脂肪样肿块 (a * ) 沿左侧骨盆侧壁占据腹膜后间隙,少数强化的薄的分隔(b 箭)。(c) 大体病理示肿块有薄包膜,柔软的黄色的均质的分叶状切面 (*),没有明显纤维化、坏死、钙化或出血。(d) 中等倍率显微照片显示成熟的脂肪细胞,大小较一致且没有核异型性(HE×40),脂肪细胞被纤维带(箭)与混合的中小血管(箭头)分成小叶。

7c7772d4e737d87df67035bf857d137b.png
病例 2:高分化脂肪肉瘤  55岁女性,腹部紧实、恶心、早饱和便秘
(a) 冠状CT平扫显示大的边界清楚的主要含脂肪的肿块,左肾内移,肿块内部包含一些厚的分隔(虚箭)和软组织成分结节(实箭)。(b)  轴位T1WI-fs增强显示含有脂肪的肿块(*)和薄的分隔(箭)。(c)  大体病理显示附着于并围绕肾脏(箭)的分叶状脂肪样肿瘤,黄色(*)至棕灰色(**)脂肪切面,结缔组织带(箭头)将肿瘤分为结节。(d)  显微照片显示具有多个胞质内液泡的脂肪母细胞,这些空泡使扩大和深染的核(箭)和增厚的纤维带(*)缩紧,可见非典型的基质细胞核(HE×200)。

59b3732e0785f667336ea7dc317ef2cc.png
病例 3:粘液型脂肪肉瘤  68岁男性,腹痛3个月,逐渐加重
(a, b) T2WI (a) 和T2WI-FS (b)显示盆腔肿瘤呈高信号(*),内可见花边状低信号(箭)。(c) 对比增强 T1WI-fs显示肿瘤内斑片状强化区(箭)。(d) 大体病理显示双瓣状、边界清楚的肿块,切面呈棕黄色、凝胶状,光滑闪亮(*),另见占总表面积30% 的出血区域(**),肿瘤似乎完全被薄的纤维假包膜(箭)包裹。(e) 低倍镜显示丰富的粘液样基质,其中包含纺锤形肿瘤细胞和网状的毛细血管系统(箭)(HE×100)。

0f562fdf7324fafc5624d118b8047a82.png
病例 4:多形型脂肪肉瘤  65岁女性,腹痛一年半
(a、b) 冠状T2WI(a)和T2WI-FS(b)显示肿瘤含有脂肪 (a *) 和高信号软组织成分(b 箭)。(c) 对比增强 T1WI-fs提示瘤体内软组织成分(箭)明显不均质强化。(d) 大体病理显示多结节性棕白色至黄色肿块,包含坚硬(*)至肉质(箭头)切面,偶尔可见坏死区(箭)。(e) 镜下显示大量单空泡(*)和多空泡(箭)脂肪母细胞,可见大的多形胞核被脂质空泡包围,周围见多形梭形细胞(HE×200)。

a9ef015a4dd692024569c6b0ed8bf35b.png 图 27:腹膜后脂肪源性肿瘤不同病理类型的影像对比
简要总结,脂肪肉瘤是腹膜后最常见的原发性恶性肿瘤,多体积巨大,多见于40岁以上成人。与肢体等浅表部位相比,腹膜后脂肪肉瘤往往体积更大,肉眼观大多数肿瘤呈结节状或分叶状,表面常有一层假包膜,黄红色有油腻感,有时可呈鱼肉状或黏液样外观。
镜下,肿瘤细胞大小形态各异,可见分化差的星形、梭形、小圆形或呈明显异型性和多样性的脂肪母细胞,胞浆内含有大小不等脂肪空泡,也可见成熟的脂肪细胞。
脂肪瘤样型由典型的脂肪成分组成,CT表现为巨型脂肪密度肿块,瘤内为脂肪性低密度,中间见网状分隔,强化不明显,较易诊断。
硬化型、圆细胞型和去分化型、多形性脂肪肉瘤由于含有纤维组织、粘液、脂肪等多种成分,CT可表现为囊实性肿块,密度混杂,也可仅表现为肌肉样密度,钙化少见,增强扫描实性部分呈轻中度延迟强化,成分复杂,故而CT表现多样,与恶性纤维组织细胞瘤、平滑肌肉瘤、淋巴瘤等其他间叶源性肿瘤很难区分。
第五部分  平滑肌源性肿瘤

肌源性肉瘤是指具有平滑肌分化或具有骨骼肌分化的软组织肉瘤,前者即平滑肌肉瘤,后者则为骨骼肌肉瘤。
平滑肌肿瘤是指发生于机体任何部位、来自于间叶组织的、具有完全平滑肌分化特征的肿瘤,多见于胃肠道及子宫,包括良性的平滑肌瘤(Leiomyomas)及恶性的平滑肌肉瘤(Leiomyosarcoma,LMS)。此外,还有一类具有不完全平滑肌分化且伴有神经、自主神经/节细胞性、甚至混合性分化特征的肿瘤称之为上皮样平滑肌瘤(Epithelioid leiomyoma,EL),此类肿瘤绝大多数见于胃肠道,现把这类发生于胃肠道的上皮样平滑肌瘤称之为胃肠道间质瘤(Gastrointestinal stromal tumor,GIST)。
软组织平滑肌肿瘤多见于皮肤和皮下组织,少数发生于四肢深部组织、腹膜后、纵隔等。平滑肌瘤多位于软组织表浅部位,而平滑肌肉瘤好发于软组织深部。
腹膜后平滑肌肉瘤的组织学呈多样性,根据瘤细胞的分化程度分为高、中、低分化三型,瘤细胞呈梭形,境界清楚,胞质丰富,染成深伊红色,常含有与核长轴平行的肌源纤维,瘤细胞常平行排列,并有明显的囊性变倾向。当腹膜后平滑肌源性肿瘤中每个高倍视野含有5个或者5个以上核分裂象时,应该诊断为平滑肌肉瘤。
当肿瘤组织中有大片坏死或肿瘤直径超过10cm时,即使核分裂像较少,也高度提示为恶性。这类肿瘤预后极差,85%以上的病人于诊断后2年内死于肿瘤广泛转移。
平滑肌瘤与平滑肌低信号相似,T2WI低信号,强化程度不一,不常见;大部分为育龄期妇女,通常受激素驱动。腹膜后平滑肌瘤起源于腹膜后含平滑肌组织的精索,血管,中肾管和苗勒管残余,亦可发生于不含平滑肌的组织,如胰腺和腹膜等,多见于胃、小肠肠系膜及子宫等部位,位于腹膜后十分罕见。
病例示例:
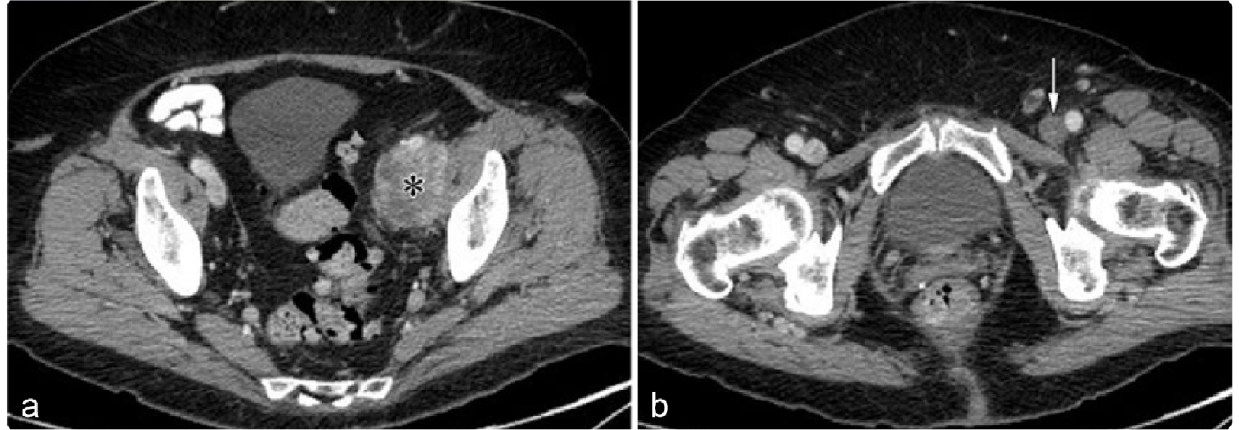
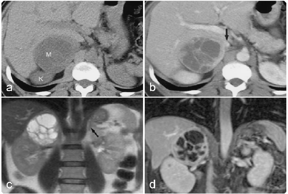
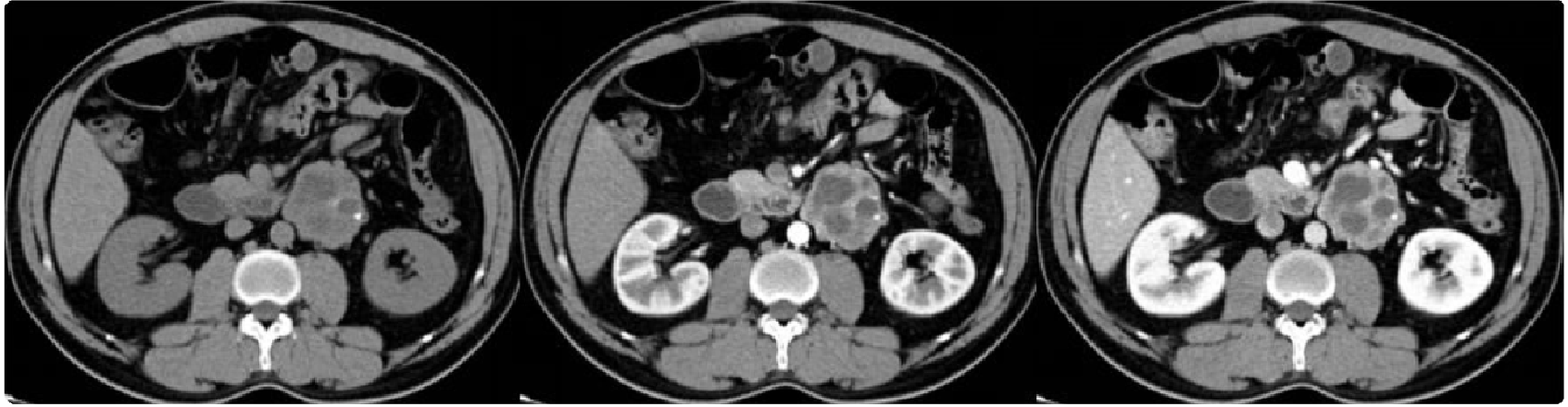
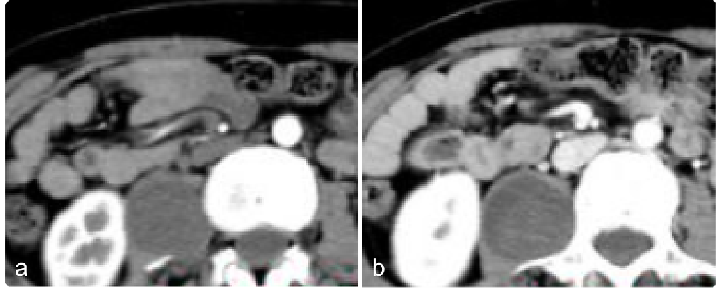
57aaf5eda5382eb0b90b87ad7514e454.png 病例 5:腹膜后平滑肌瘤一例右上腹膜后软组织占位灶,边缘规则,与下腔静脉分界不清,余部位边界尚清晰,密度同肌肉密度,尚均匀,可见轻中度均匀强化。
平滑肌肉瘤为腹膜后发病率仅次于脂肪肉瘤的恶性肿瘤,是第二常见的原发性腹膜后肉瘤。主要起源于腹膜后血管壁的平滑肌组织,胚胎残余平滑肌及腹膜后潜在间隙平滑肌等。平滑肌肉瘤多见于40-70岁中老年人,2/3发生于女性,肿瘤生长迅速,70%首要症状为腹胀。
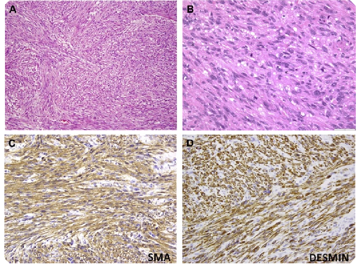
平滑肌肉瘤瘤体常较大,多在5cm以上,无包膜(不同文献有出入,部分病例可有包膜),境界不清,与周围组织粘连。肿瘤累及相邻血管,表现为不均质肿块,肿块出现不同程度坏死。瘤体切面呈灰色或灰红色,似鱼肉状,有出血、坏死。瘤细胞呈长梭形,大小不等,胞膜清楚,可见肌原纤维。细胞呈平行或交织束状排列。低分化区瘤细胞表现为多形性,核分裂象多见,可见瘤巨细胞,失去平滑肌细胞形态和排列方式。免疫组化可见平滑肌肌动蛋白、结合蛋白呈现阳性,70%病人Desmin阳性,30%~40%病人细胞角蛋白和S100阳性。

dd3ba8b3786da93c7f4146ad5b4738c4.png 图 28:平滑肌肉瘤典型表现  低倍镜下为梭形细胞肿瘤,瘤细胞呈束状排列;高倍镜下细胞核呈特征性长而肥胖的表现;免疫组化显示SMA及desmin染色胞质呈弥漫阳性着色
腹膜后平滑肌肉瘤的生长方式主要有三种:① 完全长在血管外,最常见(62%);② 完全长在血管内,最少见(5% );③ 同时长在血管内外 (33%)。

9a0ccceeef94130db73768fa4105b91c.png 图 29:平滑肌肉瘤与血管腔的关系示意图

2f530b96476cae13672532ff0a7ab285.png 图 30:平滑肌肉瘤的三种生长方式(① 血管腔内;② 血管内外;③ 血管腔外)
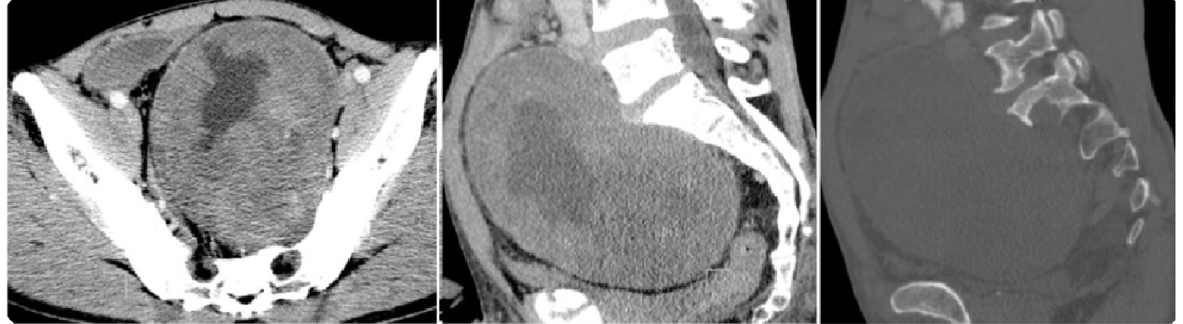
腹膜后平滑肌肉瘤多位于左上腹膜后、盆底。瘤体多较大,形态不规整呈分叶状改变。常与主动脉及下腔静脉分界不清,容易侵犯腹膜后大血管,此征像较有特征。肿瘤单发多见,多发少见,体积一般较大,有包膜(不同参考资料表述有异),形态一般呈椭圆形或分叶状,密度不均匀,实性部分呈明显低密度,囊变、坏死、出血多见,如肿瘤内有出血,低密度区内可出现高密度影,但肿瘤钙化少见。肿瘤血供多丰富,增强扫描呈轻度渐进性强化或中度至明显强化。肿块常与下腔静脉或其它大静脉分界不清。一般没有淋巴结转移,血行肝转移最多见。
病例示例:
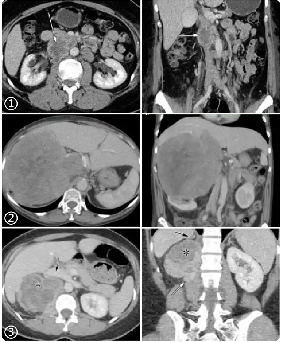
917bfe88330e9a51bacfc381b0a24818.png 病例 6:腹膜后平滑肌肉瘤2例
(① 血管内外;② 血管腔外)① 腹膜后肿块可见侵犯右肾血管、下腔静脉,密度不均匀,有囊变坏死,增强后边缘性延迟环状强化。② 腹膜后肿块与右肾血管,下腔静脉及腹主动脉分界不清,肿块密度不均匀,内可见囊变坏死区及高密度灶(平滑肌肉瘤瘤内如有出血,低密度区内可见高密度出血影,但通常不钙化),增强扫描呈明显不均匀强化,囊变区未见强化。

e6b157565c20beba067400577029f65f.png 病例 7:腹膜后(血管外)平滑肉瘤1例
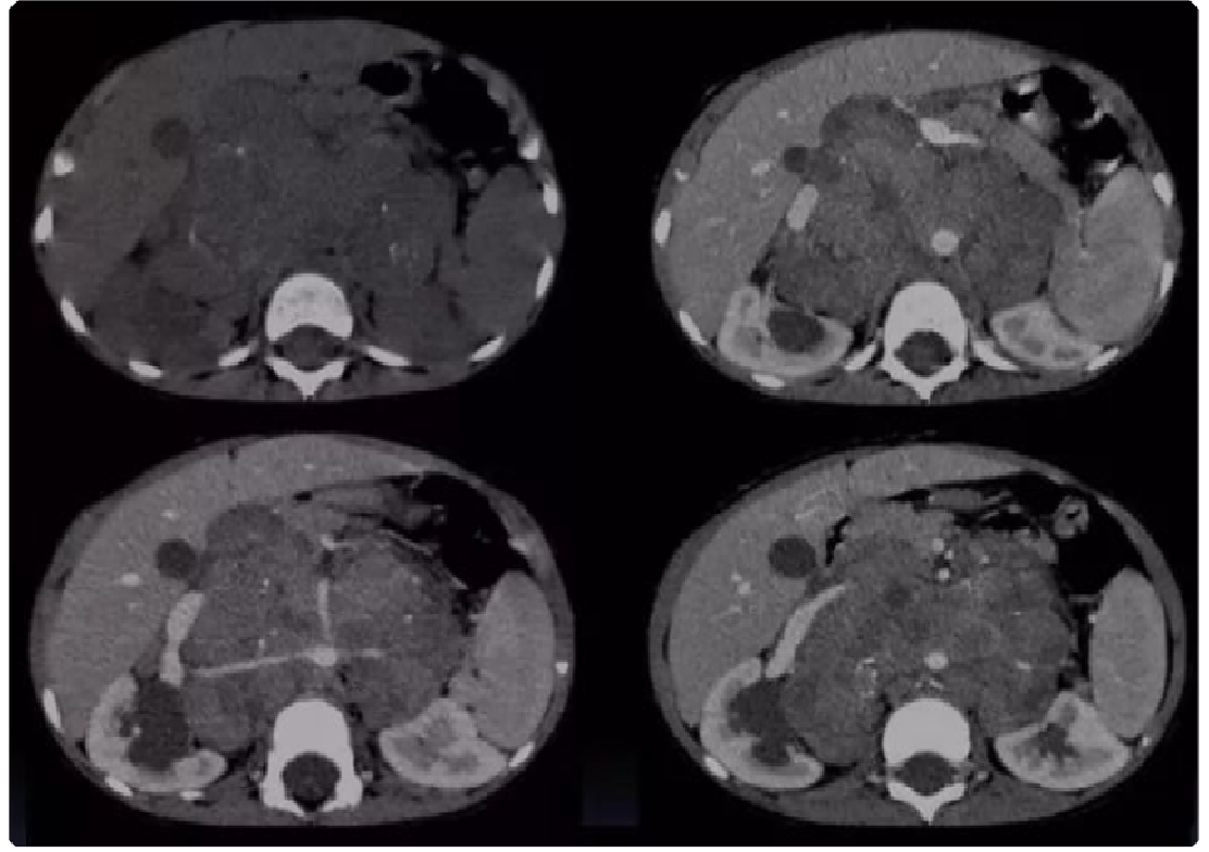
增强CT(横、冠、矢状位)(a、b) 增强扫描动脉期与增强扫描静脉期;(c、d) 冠状位与矢状位影像。腹膜后单发肿瘤,体积较大,边缘规则的软组织肿块,有包膜,内密度不均匀,多发低密度灶;增强扫描,不均匀轻中度强化,内有不强化中心坏死灶与囊变区,门脉期较动脉期强化明显。增强扫描呈轻度渐进性强化,没有明显钙化灶,周围无明显肿大淋巴结。

0a5fb18a3933294f8c258284440d05bf.png 病例 8:腹膜后(血管外)平滑肌肉瘤  46岁女性 腹膜后肿物不均质强化,病灶与前方下腔静脉、上方肾上腺及下方肾脏分界清晰,病灶侵犯右侧腰大肌。瘤内少量出血,不均质强化,弥散受限。大体病理显示瘤内出血、坏死;镜下:具有有丝分裂和核异型的梭形细胞。

0a6556b925dbc726a8c295b13d4e5389.png 病例 9:腹膜后(血管外)平滑肌肉瘤  64岁女性右侧腹膜后巨大软组织肿块,不均质强化侵犯肝脏(黑箭)及右肾(白箭)。大体病理显示肿瘤侵犯右肾,瘤内出血、坏死(*)。

5cda817c00c60fa04c459763294e72d0.png 病例 10:腹膜后(血管外)平滑肌肉瘤  66岁男性,腹痛3个月,食欲下降,体重减轻右肾周巨大不均质肿块,内见坏死区,未见侵犯右肾。大体病理显示肿瘤位于右肾下部,完全位于肾外,肿瘤切面呈棕白色轮辐状外观。

07837fb3e4470099477664b2d0ed7c41.png 病例 11:腹膜后(血管外)平滑肌肉瘤  64岁女性T2WI呈等高信号,增强扫描肿块呈明显强化,并可见降结肠位于肿瘤外侧(白箭)。

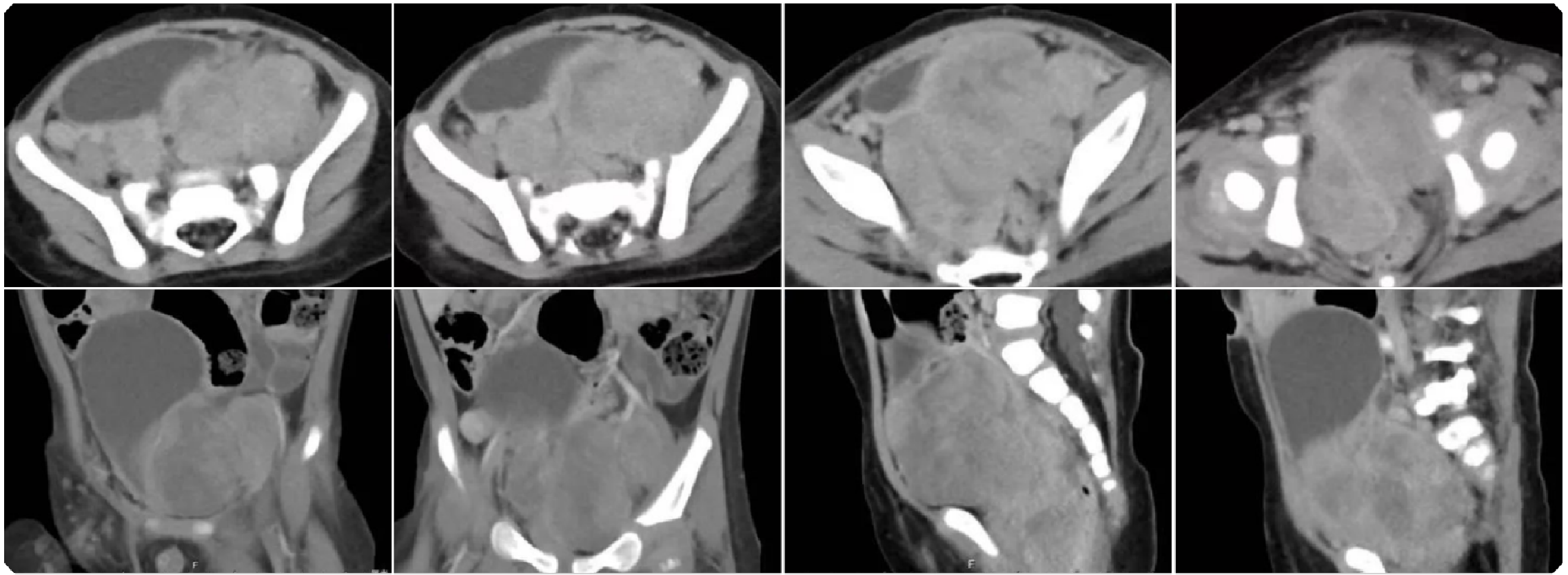
9ad706cca015cfbc11c4e89e74a3010e.png 病例 12:腹膜后(血管内/外)平滑肌肉瘤  49岁女性左侧腹膜后软组织肿块,不均质强化。T2WI上呈等及稍高混杂信号。T2WI冠状位示肿瘤上下径较长,肿瘤瘤体位于左侧卵巢静脉走行区。大体病理显示左侧卵巢静脉内可见肿瘤(*)

992516d395e1455b514acae6f30fd86f.png 病例 13:腹膜后(血管内)平滑肌肉瘤  76岁女性,左腿疼痛肿胀左侧盆壁髂外静脉走行区软组织肿块,不均质强化,左侧股静脉内可见血栓形成。
腹膜后平滑肌肉瘤与其它腹膜后原发性恶性肿瘤鉴别有一定的困难,包括原发性腹膜后脂肪肉瘤、淋巴瘤、胃肠道间质瘤、恶性神经源性肿瘤以及其发生部位周围脏器组织来源的恶性肿瘤,如肾上腺源性恶性肿瘤。某些盆腔(腹膜后间隙与盆腔腹膜后间隙相移行)腹膜后平滑肌肉瘤生长平面较低又是女性时,由于其在形态上也无法与卵巢肿瘤鉴别。容易误诊为卵巢肿瘤。
平滑肌肉瘤的鉴别诊断与肿瘤所在部位有关。肿瘤发生于肢体时,需鉴别未分化多形性肉瘤,免疫组化指标(SMA、desmin、h-caldesmon)有助于鉴别;发生于腹膜后时,则需鉴别未分化多形性脂肪肉瘤、伴异源性平滑肌肉瘤分化的去分化脂肪肉瘤、恶性血管周上皮细胞肿瘤(perivascular epithelioid cell neoplasm,PEComa),此时免疫组化或FISH检测CDK4和MDM2基因扩增有助于脂肪肉瘤的确诊,免疫组化HMB45、Melan-A、Cathepsin-K则有助于恶性PEComa和平滑肌肉瘤的鉴别。
平滑肌肉瘤的诊断要点:
① 腹膜后平滑肌肉瘤多数起源于大血管管壁(以下腔静脉和深静脉多见)。② 不均质肿块,累及邻近血管,伴不同程度坏死是腹膜后平滑肌肉瘤的最佳诊断依据。③ 肿瘤体积常较大,呈分叶状,坏死、囊变常见,钙化少见。④ 腹膜后平滑肌肉瘤属于富血供肿瘤,中度以上强化,绝大多数呈不均质强化。⑤ 肿瘤较小时,CT密度或MRI信号相对均匀,接近肌肉密度/信号。⑥ 肿瘤多累及下腔静脉及肾静脉;当肿瘤血管腔内生长为主时,可导致管腔几乎完全闭塞。⑦ 腹膜后平滑肌肉瘤发生侧支循环多见。⑧ 发生于盆腔的腹膜后平滑肌肉瘤可压迫后尿道及直肠,引起排尿困难或直肠刺激症。⑨ 晚期肿瘤可以发生远处转移,最常见的转移部位是肝和肺。第六部分  骨骼肌源性肿瘤横纹肌肉瘤(Rhabdomyosarcoma,RMS)是起源于横纹肌细胞或向横纹肌细胞分化的间叶细胞的一种恶性肿瘤,是儿童软组织肉瘤中最常见的一种,发病率次于恶性纤维组织细胞瘤及脂肪肉瘤,居软组织肉瘤的第三位。成人少发,男性多于女性。
横纹肌肉瘤是15岁及以下儿童最常见的软组织肉瘤。最常见于头部或颈部,7%–19%可见于腹膜后。总的说来,腹膜后横纹肌肉瘤罕见,在多数腹膜后肿瘤大组病例报道中,仅偶可见到横纹肌肉瘤。Stout等综述了121例横纹肌肉瘤,仅见1例原发于腹膜后。
腹膜后横纹肌肉瘤仅限于婴儿和儿童,男孩多见于女孩,男女比例为1.4:1。组织学上通常为胚胎性。其特点是大体病理上呈水肿透明、柔软的葡萄状肿物,无包膜,界限清楚,灰白色或红色。切面呈鱼肉样,可见黏液样区域及出血、坏死。依据临床表现、病理学、组织发生、分子遗传学及生物学行为的不同,可分为以下四种类型:胚胎性横纹肌肉瘤(Embryonal RMS,ERMS)、腺泡性横纹肌肉瘤(Alveolar RMS,ARMS)、梭形细胞性/硬化性横纹肌肉瘤(Spindle cell RMS,SCRMS)和多形性横纹肌肉瘤(Pleomorphic RMS,PRMS)。
ff6f975209a1120b2e971675a5124da9.png 图 31:横纹肌肉瘤临床病理特征及遗传学特征简横纹肉瘤影像学特点:
横纹肌肉瘤一般无典型的放射学特征,无钙化及脂肪组织。肿瘤可侵袭并破坏邻近骨质,另有研究认为横纹肌肉瘤常侵犯邻近组织,但对邻近骨质结构的侵犯/破坏并不常见,读者可据实际病例具体分析。
应用增强CT和MRI检查,可较好地显示肿瘤的部位、体积、边缘及其与周围组织的关系。其他的检查方法包括骨扫描(疑有骨转移)和淋巴管造影(疑有淋巴结转移)。
腹盆腔 RMS 在 CT 平扫上多表现为等、低欠均匀密度或混杂密度肿块,病灶一般境界欠清晰,部分包膜完整境界清;病灶内未见明显钙化及脂肪组织;少数可见坏死及出血。
增强后为轻中度不均匀强化,周边强化较明显;动脉期病灶内可见较多增粗、扭曲的供血动脉影,延迟期斑片状持续性强化 ,范围扩大,囊变坏死区不强化;易推移和侵犯周边肠管、膀胱、直肠等组织结构,可见区域淋巴结及肺等远处器官的转移。
在MRI 检查上表现为腹盆腔内巨大团块状异常信号影,T1WI现为低至稍高不均匀信号,T2WI表现为混杂高信号,如有坏死在T2WI上表现为更高信号区;可见点条状血管流空信号;如有出血在T1WI、T2WI上均表现为明显高信号。增强后肿块不均匀持续性强化,以周边强化明显。横纹肌肉瘤常位于腹膜后、肠系膜缘。形态多样,较大,稍低密度,可有出血、液化坏死,轻中度不均匀强化。
胚胎性横纹肌肉瘤 占所有横纹肌肉瘤病例的57%,包括葡萄簇状细胞性和梭形细胞性(在软组织肿瘤WHO 2020版中,仅包含“胚胎性横纹肌肉瘤,多形”一种亚型,而梭形细胞性单独归为一种)。胚胎性横纹肌肉瘤是一种原始的恶性软组织肿瘤,主要由原始小圆形细胞和分化不同的横纹肌母细胞以不同比例组成,其表型和生物学特征类似胚胎性骨骼肌,与妊娠7-12周胎儿的骨骼肌发育程度十分相似。该亚型为横纹肌肉瘤中最多见亚型。肿瘤不均质,有非特异性浸润表现,可见坏死区。
胚胎性横纹肌肉瘤通常发生在头颈部、膀胱、阴道、前列腺和睾丸等部位。儿童多见,多发于8岁前儿童,特别是5岁以下的儿童中此型更多,平均年龄为6岁。胚胎性是横纹肌肉瘤中预后最好的一个类型。
主要症状为痛性或无痛性肿块,皮肤表面红肿,皮温高。由于肿瘤生长较快,可有皮肤破溃出血。头颈部肿块可能导致出现眼球突出、血性分泌物、鼻出血和呼吸障碍。泌尿生殖系统肿瘤表现为阴道血性分泌物、血尿和尿潴留,肛指可触及盆腔包块。
胚胎性横纹肌肉瘤的病理特点是广泛疏松的黏液组织内可见横纹肌斑,所以呈现长T1长T2,周边强化高于中心强化的特点,结合其发病部位及年龄,能对ERMS的诊断提供帮助。当肿瘤基质丰富,瘤细胞排列稀疏,出现梭状细胞时,可诊断为胚胎型横纹肌肉瘤。
依分化不同的横纹肌母细胞的比例及成熟程度,胚胎性横纹肌肉瘤一般分为三级:低分化、中分化和高分化。
免疫组化方面,胚胎性横纹肌肉瘤会表达骨骼肌分化相关标记。诊断中最常用标记为Desmin,为弥漫阳性着色。MyoD1、Myogenin对横纹肌肉瘤高度敏感和特异,常规应用于确诊,但胚胎性横纹肌肉瘤中Myogenin一般为斑片状阳性。
早期病人5年生存率可达80%以上,晚期常发生血行转移,预后差。病例示例:
ca5fad7efe616b08cf8cdb195600d41f.png 病例 14:腹膜后胚胎性横纹肌肉瘤  11月女婴,1月前无诱因下腹凸起,可触及较硬肿块,无触痛接近或低于肌肉密度;无脂肪及钙化组织;不均匀环状或葡萄样强化;血管穿行;未侵及邻近骨组织;黏液内的横纹肌斑。

7bfe94a3b7f5cfad9b57a4863984645b.png 病例 15:盆腔胚胎性横纹肌肉瘤  1岁男童,因“大便异常”,超声发现盆腔包块依次为4幅横断位、2幅冠状位和2幅矢状位CT图。左侧腹部肿物部分切除术大体病理:(盆腔肿物)灰白灰红组织一堆,大小为7*7*1.5cm,切面灰白,质软。免疫组化结果:Myo-D1(+),Myogenin(+),Desmin(+)/imentin(+),CD99(+),CD56(+),NF(+),WT-1(+),Ki-67(80%+),LCA(灶+),NSE(-),Syn(-),CgA(-),CK-Pan(-) ,EMA(-)。

4a64d03cd66279bc8897618c2b4c6af5.png 病例 16:腹膜后胚胎性横纹肌肉瘤  27岁女性,右上腹不适,疼痛2月余加重1周,卧位,仰卧位时疼痛明显,坐位或立位时缓解,持续1-2天,伴嗳气(a) CT平扫显示肿块边界清晰,内部密度不均,边缘实性部分强化,内部不规则低密度无强化区及迂曲纤细的血管影。(b) MRI同反相位显示肿块信号无改变。(c、d) T2压脂、T1WI序列显示信号不均匀,内部呈片状不规则稍长T1长T2信号,周边实性部分呈等信号。可见下腔静脉局部管腔变窄并受压向前上移位,肿块压迫部分肝右叶组织,并与肝尾叶分界不清。右肾受压下移,MRI冠状位上肿块与右肾上极分界较清,右侧肾上腺显示不清。
腺泡性横纹肌肉瘤 占所有横纹肌肉瘤病例的23%,主要好发于头颈部、四肢躯干、会阴等部位,也可能发生于眼眶。
见于青春期男性,平均年龄为12岁,也有研究认为该型发病率没有年龄和性别的差异,但在5岁以上的儿童中,腺泡性横纹肌肉瘤比胚胎性更为常见。腺泡性往往比胚胎性进展更快,因此需要的治疗强度更高。
主要症状是痛性或大痛性肿块,肿瘤压迫可引起疼痛、感觉障碍等。
病例示例:
d4d6602eb5f951ec94f8529af6794f94.png 病例 17:左上腹膜后腺泡性横纹肌肉瘤左侧睾丸腺泡性横纹肌肉瘤术后,平扫(a)左侧腹膜后见一巨大分叶状软组织肿块,与左肾分界不清(箭),增强扫描(b~d)呈轻度不均匀强化。梭形细胞性/硬化性横纹肌肉瘤 好发于儿童和青少年,男性多见。最常见于睾丸旁,其次为头颈部。肿瘤呈结节状,界限清楚,无包膜。
自WHO 2013版软组织肿瘤分类将其与硬化性RMS归为一类,即梭形细胞/硬化性RMS。两者关系密切,但多数病例仍以一种形态为主,新分类认为 SCRMS 可伴局灶或全部硬化性间质,当硬化性间质广泛时即为硬化性RMS。
硬化性横纹肌肉瘤以肿瘤内含有大量的玻璃样变基质为特征,可类似软骨样或骨样基质,易被误诊为骨外骨肉瘤或骨外软骨肉瘤。
病例示例:
39ac25650784cac23d3d4e59e26f810a.png
病例 18:小肠浆膜层梭形细胞横纹肌肉瘤  80岁男性,发现腹部占位4天,伴腹胀,无恶性呕吐,肿标均(-)a:平扫期;b:动脉期;c:静脉期;d:冠状位;e:矢状位。
多形性横纹肌肉瘤 非常罕见,多发生于成人,在儿童中极为罕见。进展很快,预后不太理想,需要高强度的治疗。
多形性横纹肌肉瘤多见于45岁以上中老年人,好发于四肢及躯干,特别是下肢,腹膜后少见。位于肌肉肥厚处,如股四头肌、大腿的内收肌群和肱二头肌等。主要征状为四肢痛性或无痛性肿块。当肿瘤侵及皮肤表面时,会有破溃出血。
腹膜后多形性横纹肌肉瘤发生部位隐蔽,多无典型症状,肿瘤常在短期内迅速增大,导致腹部不适或疼痛;侵及邻近器官时可出现相应临床表现。MRI扫描 T1WI呈等-稍低肌肉信号,T2WI呈混杂高信号,瘤内常见坏死,常侵犯淋巴系统,引起相应部位淋巴结肿大,少见出血及钙化;增强扫描肿块呈持续填充式强化。
病理学免疫组织化学染色多形性腹膜后横纹肌肉瘤常可见肿瘤细胞弥漫阳性表达 Des 和 SMA,其Myogenin和 MyoD1 表达量不及胚胎性或腺泡性横纹肌肉瘤。

cc77276319006960e0db0009375aaf2d.png 病例 19:腹膜后多形性横纹肌肉瘤  60岁男性,因“左腰部肿块进行性增大1个月”人院。查体腰部无压痛,实验室检查无异常MRI平扫T1WI 肿块呈等-稍低信号(图a),T2WI呈不均匀明显高信号(图b),内可见囊变、坏死,未见出血;增强扫描肿块呈持续填充式强化,其内可见无强化区域(图c)。手术病理显示腹膜后肿物呈鱼肉样改变,质地较软,可见小出血灶及大片坏死;光镜下见肿瘤细胞弥漫分布,细胞大小不一,细胞核高度异型(图d)。免疫组织化学染色:SMA(+),Des(+),Myogenin(少许+),MyoD1(+),S-100(少许+),Ki-67(约30%+)。

b67e5cfc415944443607e41269321ef3.png 病例 20:左侧腹膜后多形性横纹肌肉瘤  52岁女性,因“左上腹痛2天”入院,半年前因“子宫肌瘤”行手术治疗,血常规及肿瘤标志物均正常左肾后方类椭圆形等密度肿块,境界尚清,密度不均,增强后动脉期轻度不均匀强化,瘤内可见迂曲走行的血管影(图a),静脉期持续强化,其内坏死囊变区未见强化(图b),延迟期肿块周边部强化程度减低(图c)。左肾受压推向前方,侵犯肾皮质及左侧腰大肌,输尿管上段被包埋,左肾盂积水扩张,肾周筋膜增厚,肾周可见多枚肿大淋巴结。大体病理见左侧腹膜后约10.0cm肿瘤,与肾脏背侧包膜及腰大肌粘连严重,输尿管上段包裹粘连,其上段输尿管扩张积水。病理提示多形性横纹肌肉瘤(图d);免疫组化染色:Desmin(部分+)、Ki-67 index 30%~40%、SMA(-)。
腹膜后横纹肌肉瘤影像学表现缺乏特异性,实际工作中即使提供足够多的临床资料,仍旧诊断困难。腹膜后横纹肌肉瘤需与腹膜后脂肪肉瘤、平滑肌肉瘤、恶性纤维组织细胞瘤、滑膜肉瘤、尤文肉瘤、朗格汉斯细胞组织细胞增多症等疾病相鉴别。前文至此我们已学习了腹膜后脂肪肉瘤、平滑肌肉瘤和本节的横纹肌肉瘤,在本文结束时会安排多种腹膜后肿瘤鉴别要点的内容以供参考,此处不再简述。
第七部分  神经源性肿瘤
学习腹膜后神经源性肿瘤首先要从神经系统的起源、组成和解剖开始讲起。
所有神经组织细胞的发育起点来自于胚胎时期的神经嵴(Neural crest)。神经嵴指神经沟闭合为神经管时,神经褶上的一部分细胞游离于神经管之外,形成的左右两条与神经管平行的细胞索。位于神经管的背外侧。神经嵴细胞可分化为周围神经系统中的所有神经细胞和神经胶质细胞、肾上腺髓质中的嗜铬细胞、黑素细胞滤泡旁细胞。有人认为头颈部的部分骨、软骨、肌肉、结缔组织细胞和消化道、呼吸道、胰岛等处的APUD细胞,亦由神经嵴细胞分化而来。

cd511ddb3bf762ec14eb0f35640307ac.png 图 32:神经嵴的分化示意图
一些神经源性肿瘤来源于原始或分化中的神经节细胞,例如成神经细胞瘤、神经节成神经细胞瘤、神经节细胞瘤等。

2d645b50ee5d200135b47600f0110fc3.png 图 33:神经节的发育及神经节源性肿瘤分类
神经节(Ganglion)是功能相同的神经元细胞体在中枢以外的周围部位集合而成的结节状构造。一般为卵圆形,节内的神经细胞称节细胞,细胞的胞体被一层扁平的卫星细胞包裹,卫星细胞外面还有一层基膜。神经节与周围神经相连,表面包有一层结缔组织膜,其中含血管、神经和脂肪细胞。被膜和周围神经的外膜、神经束膜连在一起,并深入神经节内形成神经节中的网状支架。
按生理和形态的不同,神经节可分为脑脊神经节(感觉性神经节)和植物性神经节两类:脑脊神经节在功能上属于感觉神经元,在形态上属于假单极或双极神经元。

84be26759637179e9be1746665fdcca1.png 图 34:神经系统的分类和特点中枢神经系统即脑和脊髓;周围神经系统包括31对脊神经和12对脑神经。脊神经与脑神经都可能会有躯体神经与内脏神经的部分(按照功能分);任一完整的神经反射活动都有传入与传出神经两部分组成。躯体神经分布支配躯体的感觉与运动(分为感觉神经与运动神经) ,内脏神经分布于内脏,心血管,腺体(分为感觉神经与运动神经)等。内脏神经中的运动神经纤维(在脊神经中)根据其功能又分为交感神经与副交感神经。内脏的运动不像躯体活动有一组拮抗肌维持任一动作的平衡,但就其根源同样有阴阳相生的道理,如交感与副交感功能上亦和拮抗肌类似,维持内脏活动的平衡。脑神经中的一般内脏运动神经纤维成分均属于副交感性质,但迷走神经作为第10对脑神经,属于混合神经成分,有四种神经纤维成分(一般躯体感觉,一般内脏感觉,特殊内脏运动,一般内脏运动),但是其成分大部分都是一般内脏运动成分,所以一般生理书上会把迷走神经直接等同于副交感神经,但是解剖书上是明确区别的。
a1c5543ca8868699c943ff30bf053f32.png 图 35:自主神经系统的分布
(蓝色及右上:副交感神经;红色及右下:交感神经)
脑脊神经节功能上属于感觉性传入的神经节,通过感觉器官的传入,在外周形成神经节,然后再形成突触,通过突触连接,把感觉的刺激传到大脑中枢,然后形成反应,包括一些痛觉反应的回缩,以及刺激、外伤做出相应的反应,比如疼痛刺激感觉逃避,还种刺激感觉造成的恶心、呕吐或者晕厥症状。
植物神经系统主要有控制内脏器官的功能,比如消化、呼吸、心血管、膀胱等,和内分泌系统一起调节内分泌功能和腺体的分泌。它不以主观意志为转移,按照自己的规律进行活动,主观意识,大脑皮层的功能活动,会间接的影响自主神经也叫自律神经或者植物神经系统的功能,比如大脑供血不全,植物神经系统也会出现消化道的恶心、呕吐,心血管的心慌、气短,汗腺的分泌等伴随症状。

3ad7b05c3b91770f87dbcc25d7f2f289.png 图 36:副交感神经和交感神经的功能副交感神经:危险解除、情绪舒缓、以休息+进食+排泄等活动为主。交感神经:感觉危险、情绪紧张,以储氧调能、准备战斗等活动为主。
植物神经系统也就是自主神经系统或自律神经系统,它分为中枢和周缘两大部分。中枢包括皮层、下丘脑、脑干核以及脊髓的侧角等;周缘的植物神经系统包括交感、副交感神经节,节前、节后纤维,内脏的神经节等。
交感神经大多数位于脊髓(第一胸节到第三腰节的侧角),副交感神经的位置主要在颈8到腰2部位的脊髓发出的侧角细胞(脑干和脊髓的骶部)。副交感神经主要产生内脏运动,调节排便和性功能。通过副交感神经的作用,与交感神经相互制约和平衡,使人体内脏系统处于稳定状态。交感神经是自主神经系统的重要组成部分,是从脊髓的神经纤维到交感神经节,然后发出心血管的神经纤维。
交感神经由侧角发出的节前纤维,随脊神经根和脊神经一起出椎间孔后,离开脊神经,达到交感干神经节。一部分在节内换神经元后,其节后纤维离开交感干返回脊神经,随脊神经分布到四肢和体壁的血管、汗腺和立毛肌。大部分节前纤维在交感神经干内换神经元后,其节后纤维不再加入脊神经,而在各动脉周围形成神经丛,随动脉分布到头、颈和胸腔等器官。

d88825dba62857322699e850ede86d05.png 图 37:自主神经系统、脊神经、交感神经示意图
交感神经节主要位于脊柱两旁,分为椎旁节、椎前节。
椎旁节位于在脊柱两侧,呈纵行排列,从颅底到尾骨前方,这些节间之间由神经纤维连接,形成两条纵行的串珠状神经节链,称之为交感干。交感干在颈段分为颈上节、颈中节和颈下节,颈下节常与胸1交感节合并为星状神经节,尾骨前方左、右交感干会合形成共同的尾交感节。
椎前节位于脊柱前方,形状不一,多位于动脉起始部位。腹腔节位于腹腔动脉根的两侧,位于肾动脉根部的主动脉肾节,肠系膜上节与肠系膜下节都在同一动脉的起始部位。

531d9dbf3461c23c70e28a3a9ba5a62b.png 图 38:交感神经节分布示意图
副交感神经系统是植物性神经系统的主要部分,发自中脑、桥脑、延脑及脊髓的骶部。自主神经周围传出纤维的副交感部,即副交感神经。包括节前神经元、节前纤维和节后神经元、节后纤维。
副交感神经的节前神经元,都位于神经系统的中枢部,一部分位于脑干内的副交感神经核;另一部分位于脊髓低部节段内。由神经纤维组成神经,由节后神经元组成副交感神经节,以及与交感神经共同组成一些神经丛。它的节前纤维在副交感神经节中交换神经元,再由此发出节后纤维,至平滑肌、心肌和腺体。副交感神经节一般位于所支配脏器附近或脏器壁内。
副交感部的神经节,主要为副交感神经的节前纤维在此交换神经元,并由此发出节后纤维。这种神经节位于脏器的附近或壁内,亦称为终末神经节。
除较大的附属于脑神经的四个神经节,即睫状神经节、翼腭神经节、下颌下神经节、耳神经节外,其余的神经节则极细小,分散在内脏壁内。此种分散在内脏壁内的神经节,可在显微镜下观察到,无神经节的被膜,只是由一些神经细胞聚集形成,特称为壁内神经节。

77a19a9fd6eca94f0363dce642cd76a9.png 图 39:副交感神经节前纤维在壁内神经节交换神经元,发出很短的节后纤维至效应器
周围神经主要由神经元的轴突,包绕在轴突上的施万(Schwann,又名雪旺/许旺)细胞和成纤维细胞组成。其中成纤维细胞是组成神经内膜、神经外膜和神经束膜的主要成分,而许旺细胞仅在神经内膜中表达。
施万细胞是周围神经系统中的神经胶质细胞,它沿神经元的突起分布。施万细胞包裹在神经纤维上,这种神经纤维叫有髓神经纤维。有髓神经纤维和无髓神经纤维的施万细胞的形态和功能有所差异。
施万细胞包在轴突的外面,故又称神经膜细胞(Neurilemmal cell),它的外面包有一层基膜。施万细胞最外面的一层胞膜与基膜一起往往又被称为神经膜(Neurilemma),在光镜下可见神经膜结构。
神经束膜(Perineurium)为一光滑透明的薄膜,将神经纤维分隔成束。神经束膜的层数依不同神经束及神经束不同部位而不同,由1至15层不等,神经束膜作为神经-血管屏障保护着神经内膜内容物即神经纤维。外层为结缔组织,内层则由大约7~8层扁平上皮细胞所组成,称为神经束膜上皮。神经束膜性质强韧、不易被针穿透,此点与神经外膜不同。
191b53e022577899838e9439d72235e9.png 图 40:周围神经的断面解剖示意图
副神经节(Paraganglia)由胚胎期神经嵴细胞迁徙而来,分布于身体中轴自颅底到盆腔各处,大多沿大血管分布,且多靠近交感、副交感神经节,聚集成为上皮样细胞团,故称副神经节;也可见于自主神经的末梢部分。
按解剖部位,副神经节组织可分为肾上腺内和肾上腺外两部分,前者即肾上腺髓质,后者包括大血管壁的化学感受器(主要是颈动脉体、主动脉体和肺动脉体, 能感受动脉血O2、CO2分压和H+浓度,通过神经内分泌机制调节呼吸和心脏的节律)、颈静脉球(在颈静脉球圆顶的外膜内)、 迷走神经体(位于颈段迷走神经束膜内)以及分散在头颈、纵 隔、腹膜后和内脏(膀胱、卵巢、睾丸、肝门、心脏等)的副神经节细胞群体。

4d9a41d0fe23018f0ff4e457b8668736.png 图 41:副交感神经节的分布示意图
在腹膜后神经源性肿瘤开篇之际,我们已经简单了解了包括神经节、交感神经、副交感神经、副神经节、肾上腺髓质以及化学感受器等名词概念,这方便我们在之后的疾病学习中能寻找到组织来源,方便理清各肿瘤的分布和影像特征的缘由。

b18c30d9e64739e2d4c17ae943e55e54.png 图 42:神经系统一些重要名词的简要介绍
腹膜后神经源性肿瘤是比较常见的腹膜后肿瘤,在腹膜后肿瘤中居第二位,仅次于间叶组织来源肿瘤。多为圆形及卵圆形,界限非常清楚,瘤内血管较丰富,肿瘤多为软组织,有囊变的倾向,绝大多数肿瘤内均可见大小不等的囊变区,甚至全部肿瘤均为囊性,类似于单纯囊肿。儿童原发性腹膜后肿瘤绝大多数为神经源性肿瘤,如神经母细胞瘤。
腹膜后的神经源性肿瘤可源于腹膜后任何神经结构,主要位于腹膜后肾上腺区及沿脊柱两侧神经链分布。一般包括体神经来源的和交感神经起源的肿瘤。
体神经来源肿瘤主要来自腹膜后的脊椎神经,包括第12胸神经前支及腰骶神经干的所有分支。包括神经鞘瘤和神经纤维瘤等。在组织学起源上,神经鞘瘤(Schwannoma)和神经纤维瘤(Neurofibroma)分别起源于神经膜和神经纤维。
在交感神经细胞胚胎的发育过程中,一些细胞脱落进入肾上腺髓部与其结为一体,另一些细胞则演变为神经母细胞,继而变为交感神经节,根据节细胞和成神经细胞的构成比例分为节细胞瘤(Ganglioneuroma, GN),也称神经节细胞瘤、节细胞神经瘤和神经母细胞瘤(Neuroblastoma,NB)等。

一些细胞则演变为嗜铬细胞组织,主要沿腹主动脉及其分支生长成为副交感神经节链,其中最大一个神经节位于肠系膜下动脉根部。这些细胞虽有嗜铬特点,但不一定都属功能性,一旦这些细胞发生肿瘤,能分泌升压物质儿茶酚胺者为嗜铬细胞瘤(Pheochromocytoma,PCC),而无分泌功能者则多为副神经节瘤(Paraganglioma,PGL)。这些肿瘤均具有恶变的可能。
由于腹膜后间隙较宽松、广泛, 故腹膜后神经源性肿瘤常体积很大,但临床症状一般不典型,发现较晚,腹部肿块为首发症状。

41f81db239d55c2bd239e7d4b3790753.png
图 43:常见的神经源性肿瘤的分类
神经鞘瘤起源于神经组织的Sehwann细胞,肿瘤生长缓慢,起初一般无症状,多数患者在体检时无意发现。当肿瘤生长到一定程度压迫神经时,可出现相应症状。良性神经鞘肿瘤,包膜完整,全部由分化好的施万细胞构成。多发性神经鞘瘤多与神经纤维瘤病2型或神经鞘瘤病有关。
神经鞘瘤多位于脊柱前外方、肾周、骶前等神经组织丰富部位。瘤体纵径大于横径,范围一般在肾门水平上下。直径多在5cm以内,大的可达12cm,肿块密度不均匀,易囊变、出血、坏死,多数实质性肿瘤或囊性肿瘤的实质部分密度低于肌肉,少部分肿瘤高于肌肉。
平扫肿块密度多不均匀,增强扫描呈均匀或不均匀中等强化,也可出现不均匀间隔样强化,有时呈现“靶征”,中心较边缘强化显著,具有特征性。周围有一层很完整的包膜。有时呈哑铃状向椎体或骨盆骨孔延伸生长而固定。恶性外周神经鞘瘤(Malignant peripheral nerve sheath tumors,MPNST)的影像表现基本类似,唯包膜不完整。
肿瘤的密度、信号和强化程度取决于肿瘤内细胞致密区(Antoni A区)和稀疏区(Antoni B区)比例分布。Antoni A区由密集的梭形细胞构成,细胞核排列为栅栏状或漩涡状,称Verocay小体,境界不清,不易发生囊变。Antoni B区的瘤细胞稀疏,排列呈网状,基质含水量高,可有富脂区存在,常发生黏液变、囊变或出血。Antoni A区与B区可并存于一个肿瘤内,也可单独存在。当Antoni A区主要位于病变中心,而Antoni B区位于周边时,T2WI或DWI可表现为“靶征”。
神经鞘瘤的MRI影像可有“形态呈梭形,包膜完整 、包膜下囊变 、中央裂隙征 、束状征 、靶征 、神经出入征 、脂肪分离征及强化点征、血管贴边征”等多个征象,其中以“包膜完整 、束状征及包膜下囊变”这 3 个 MRI 征象最具特异性。下图是全身多部位神经鞘瘤的典型MRI征象,可用于辅助学习腹膜后神经鞘瘤。

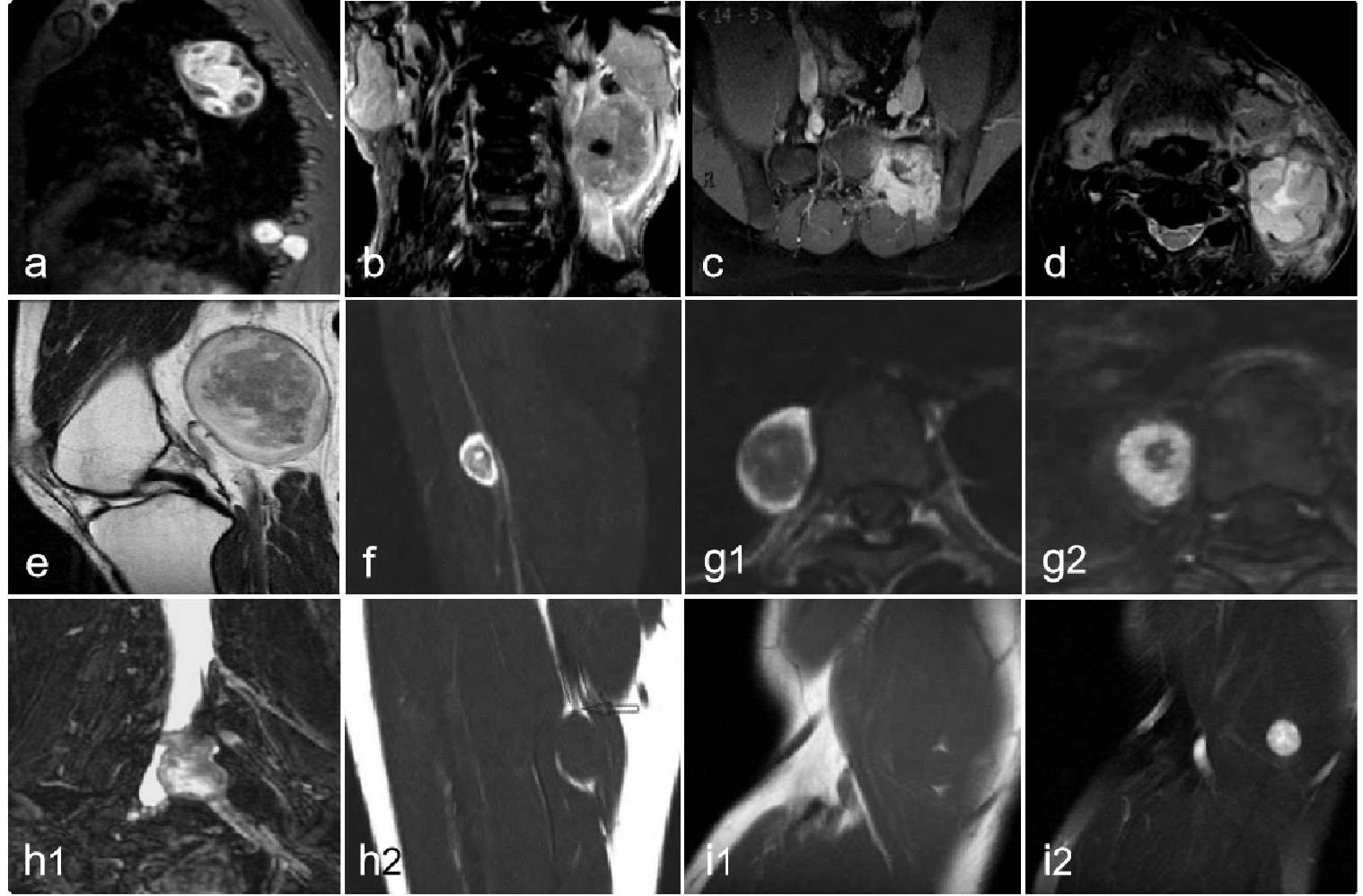
1cb7d55c23391da302d7e07c1a739bf1.png 图 44:神经鞘瘤(各部位)MRI典型征象a:“包膜下囊变征”,病灶包膜下多发大小不 、形态不定的无强化囊变区;b:“血管点征”,病灶内多发点状或管状的血管强化信号;c:“中央裂隙征”,病灶中心为裂隙状黏液变、囊变区;d:“束状征”,T2WI 示神经鞘瘤内及边缘多发条索状低信号神经纤维;e:“靶征”,T2WI 呈病灶外周高信号,中心等、低信号;f:“血管贴边征”;g1、g2:“典型靶征”;h1:“神经出入征”,MRN示神经鞘瘤的两极低信号A、B号神经出入;h2:箭头所指低信号的神经出入;i1、i2:“脂肪分离征”,病灶上下方小三角形脂肪信号,压脂后病灶上下方异常信号消失。
腹膜后神经鞘瘤的可靠诊断依据有:临床症状轻微,体检时偶然发现的肿块;瘤块边缘较光滑、锐利,可有增强的包膜影;瘤块内常见有液化坏死,实性部分有强化;偶有肿瘤出血的征象等。
病例示例:
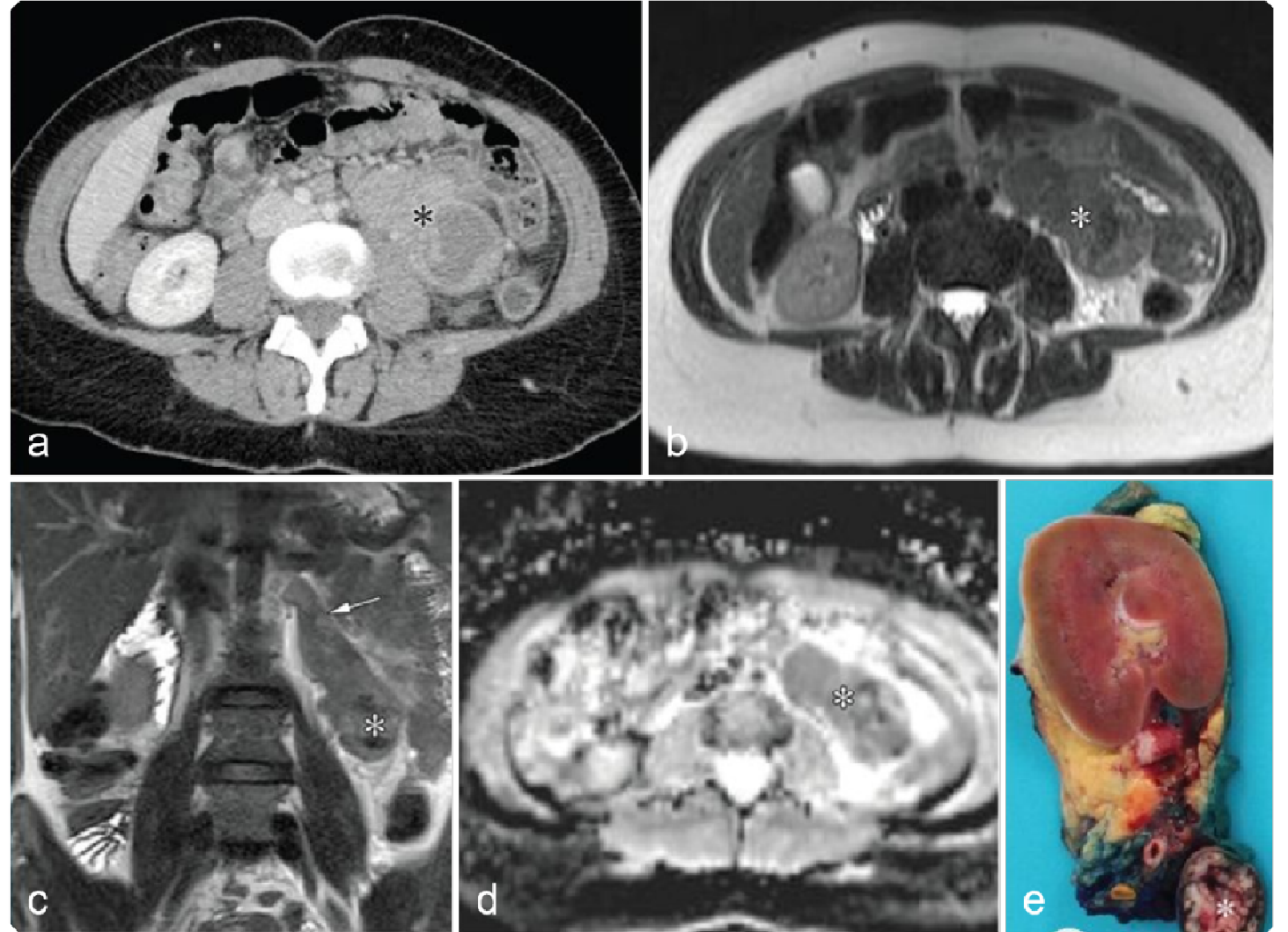
23327ffa4416c3decf5bf484571a3777.png 病例 21:(左侧肾上腺旁)神经鞘瘤腹膜后良性神经鞘瘤生长缓慢,很少恶变;多呈类圆形或不规则形,边界清楚,密度均匀,有包膜,易发生囊变、坏死及出血,均匀或不均匀轻度强化。

7863dcd03815193619173bd9236803bf.png 病例 22:(盆腔骶前)神经鞘瘤可见肿瘤起源骶孔、骶骨骨质呈膨胀性缺损,瘤内有囊变区。

47df5e91be9763c0283a82cb0256446c.png 病例 23:(盆腔内)神经鞘瘤  46岁女性,因发现腹部肿块10余年,腹部隐痛1月余,实验室检查无特殊a1-a4为横断位多个层面;b1-b2为冠状位两个层面;c1-c2为矢状位两个层面;d为动脉和肿瘤的三维成像。肿瘤可见包膜,瘤体可见明显囊变坏死。免疫组化:S-100(+)、SOX-10(+)、CD117(-)、Dog-1(-)、 SMA(-)、Ki-67 (+,<1%)。特殊染色:PAS、网染无特殊。

309da72b651fad69b53c1ea5f4ca297c.png 病例 24:(腹膜后)神经鞘瘤囊变  41岁女性,偶然发现腹部肿块(a) CT增强显示低密度肿块,内见线样钙化(箭)。(b) T2WI-FS显示肿块呈不均匀高信号,内见囊变区形成(*)。(c) 大体病理显示肿瘤界限清楚,具有棕黄色实性和囊性切面(箭),其中60%为白色纤维组织,40%为黄色脂肪组织。中央为出血性囊性成分(*)。(d) 镜下显示中央囊肿(*)及周围更小的囊肿(箭)(HE×40)。(e) 高倍镜显示由栅栏样细胞(箭头)组成的Verocay小体,这些细胞被低细胞透明化区域(*)隔开(HE×200)。

566b397981058feecc953f228d54a198.png 病例 25:(腹膜后)恶性外周神经鞘瘤  12岁女性, NF1(神经纤维瘤病 I 型)病史(a-c) 腹膜后肿块呈T1WI 等低信号,T2WI高信号,明显不均质强化,伴中央坏死(图b*)。(d) 大体病理显示分叶状边界清楚的肿块,切面呈杂色,肿瘤为白色至棕色区域(*)、黄色坏死区域(箭头)和囊性出血灶(箭)。(e) 镜下示梭形细胞的高度细胞增殖,排列成束状,细胞核呈锥形和波浪状,细胞质边界不明显,有丝分裂活动活跃(一些非典型)(箭头)(HE×200)。
神经纤维瘤是一种界限清楚的神经内或广泛浸润神经外的肿瘤,源于神经嵴的施万细胞异常分化,由混合细胞成分构成,包括施万细胞、神经束膜样细胞和成纤维细胞。如仅有单一皮肤病灶者称为孤立性神经纤维瘤(Solitary neurofibroma),又被称为丛状神经纤维瘤(Plexiform neurofibroma)。神经纤维瘤可通过手术方式实现肿瘤全切达到治愈。
如存在多个病灶并伴有相关其他系统病变时,即为神经纤维瘤病(Neurofibromatosis)。神经纤维瘤病又可分为三个主要类型,其中较常见的是 Ⅰ 型,又称Von Recklinghausen病,皮肤的牛奶咖啡斑和周围神经多发性神经纤维瘤是该型的特征性表现,多发性和丛状神经纤维瘤通常与 Ⅰ 型有关;较少见的是 Ⅱ 型,即中枢神经纤维瘤,又称双侧听神经纤维瘤(Bilateral acoustic neurofibromatosis);Ⅲ 型为神经鞘瘤病(Neurinomatosis)。
神经纤维瘤病是一种涉及到皮肤、深部软组织、神经等多系统、多器官的遗传性良性肿瘤,主要由于基因缺陷使神经嵴细胞发育异常导致人体内的多系统损害,通常发生在颅内、椎管内以及体表,可以形成多发性的神经纤维瘤、神经鞘瘤等遗传性疾病病,发病时皮肤有明显变化。由于神经纤维瘤病具有遗传性,并且属于常染色体显性遗传,所以可以在亲代与子代之间遗传,从而影响下一代。
腹膜后神经纤维瘤与全身其他部位神经纤维瘤相似,多见于青年人,男女发生率相等。30~50岁,单发(90%)>多发(10%)。
影像常表现为圆形或类圆形,边界清楚,密度均匀,增强轻度强化,椎间孔扩大呈哑铃形,椎体边缘扇贝样破坏,偶可见“靶征”。恶性体积较大、密度不均、浸润性生长。肿瘤包膜完整、界限清楚、质地坚韧、病理切片灰白色,镜下见纤维细胞,瘤细胞之间有胶原纤维,常见轴突在肿瘤内穿过。腹膜后神经纤维瘤难以与神经鞘瘤区分。
95284e5784edf73907e084a0d692a3bf.png 图 45:神经鞘瘤和神经纤维瘤的主要特征对比神经纤维瘤早期临床上无疼痛不适症状,肿瘤体积增大到一定程度,可产生局部压迫症状。多数病人是在影像学查体时发现肿瘤,少数病人可自己无意中触及腹部肿块。
病例示例:
f11727da9fe6cbec4ede7417e667c5f6.png 病例 26:(腹膜后)神经纤维瘤1例表现为圆形,边界清楚,密度均匀,增强轻度强化,椎间孔扩大呈哑铃形,椎体边缘扇贝样破坏。

198977821c0cfa9465c5f8939c613986.png 病例 27:(腹膜后)神经纤维瘤  54岁女性,偶然发现左侧腹膜后肿块(a) CT增强显示边界清晰的低密度腹膜后肿块(箭),具有爪征,与移位的左侧腰大肌关系密切。(b) T2WI-FS 呈均匀高信号(箭)。(c) 增强扫描呈弥漫性不均质强化(箭头)。

06316804d65eecc89c20ef81143e844a.png 病例 28:(腹膜后)神经纤维瘤  18岁女性,偶然发现腹部后占位(a) T2WI-FS可见经典的靶征,特征性的中心低信号区域被高信号边缘(箭头)包围。(b) 大体病理示肿块边界清楚,切面呈均匀的实心淡黄色(病例27、病例28和病例29表现类似)。(c) 镜下见松散排列的卵圆形、梭形细胞呈适度增殖,在粘液水肿样的基质中可见小波浪样的细胞核(箭)(HE×400),病变细胞具有良性细胞学特征,缺乏实质性有丝分裂活性。
神经纤维肉瘤(Neurofibrosarcoma)是一种高度恶性的神经源性肿瘤,发生于腹膜后者体积一般较大,分化程度差,发现时往往转移,与腹膜后邻近血管和神经关系密切,肿瘤增大易压迫邻近神经,引起神经功能障碍。WHO 2007将神经纤维肉瘤、恶性神经鞘瘤和间变型神经纤维瘤统称为恶性周围神经鞘肿瘤。
目前对腹膜后神经纤维肉瘤的阳性诊断率不高,易将腹膜后神经纤维肉瘤误诊为脂肪肉瘤等其他腹膜后恶性肿瘤。
平扫密度不均,可发现坏死和钙化区,其钙化呈斑点状或结节状表现,通过钙化的边界是否清晰能够初步判断肿瘤的良恶性,通常情况钙化边缘模糊的肿瘤恶性可能性大。
增强扫描肿瘤实质部分表现为轻到中度不均质性强化,动脉期肿瘤内可见粗细不均且不连续的血管影,延迟期强化程度明显降低,静脉期及延迟期有助于发现囊变坏死区。MRI多个序列在诊断腹膜后神经纤维肉瘤上有一定的帮助,但仍需和多个腹膜后肉瘤进行鉴别。
腹膜后神经纤维肉瘤的大体切面表现为旋涡样,镜下观察肿瘤细胞丰富,间质黏液样变明显,瘤细胞呈编织状或栅栏样排列,可见肿瘤巨细胞和凝固性坏死区。肿瘤细胞核分裂多、肿瘤生长速度快、活跃度高。
病例示例:
a4a2540d28217c32bdaeaee945a846a7.png 病例 29:腹膜后神经纤维肉瘤1例肿瘤边界清晰,可见坏死和钙化灶,动脉期显示肿瘤实质部分明显强化,可见粗细不等且不连续的血管影。镜下病理示肿瘤细胞核破裂伴凝固性坏死病理特征(HEx100)。
神经束膜瘤(Perineurioma)完全由肿瘤性的神经束膜细胞构成。神经内的神经束膜瘤是良性的,由神经内膜内增生的神经束膜细胞构成,形成典型的假洋葱球状结构。软组织内的神经束膜瘤与神经无关,常为良性肿瘤,由于在腹膜后实属罕见,故不过多介绍。节细胞神经瘤是一种很罕见的神经源性良性肿瘤,起源于原始神经嵴细胞,由分化成熟的交感神经节细胞和神经纤维构成,少部分节细胞神经瘤可分泌足够量的儿茶酚胺以引起交感神经症状(如潮红)。
节细胞神经瘤可见于任何年龄,以成人尤其是年轻人常见。其肿瘤主要发生于植物神经系统,任何部位均可发生,多发生于脊柱旁交感神经丛,后腹膜和后纵隔是最常见的两个好发部位,偶尔可起自肾上腺髓质。
肿瘤边界清楚,平扫较均匀的低密度,低于肌肉,20%~30%的病例可有斑点状或针尖样钙化。匍匐性生长,呈爬行生长或沿器官间隙呈嵌入方式生长,容易形成伪足样改变,不侵犯周围组织及血管。
动脉期无明显强化,静脉期和延迟期有渐进性轻度强化,延迟强化的原因主要是由于肿瘤细胞外间隙内大量的黏液基质阻碍造影剂的灌注;不均质,T1WI呈均匀低信号,T2WI呈显著高信号,可见“螺旋状”的黏液样基质。
病例示例:
2b187c6c66f824726ee9fd9bfcae4cbf.png 病例 30:(右侧肾上腺区)节细胞神经瘤1例瘤体边界清楚,平扫呈均匀低密度,低于肌肉,呈嵌入式生长,动脉期瘤体无明显强化,壁呈轻度强化,静脉期和延迟期可见渐进性强化,冠状位瘤内可见血管影,未见明显受侵。

ac363d5af64c789e6803554f114ed8be.png 病例 31:(左侧肾上腺区)节细胞神经瘤  39岁男性,偶然发现左侧肾上肿块(a) T2WI显示螺旋状外观,高信号的粘液样基质及低信号的曲线带(箭头)。(b) 明显外周强化。(c) 大体病理显示肿块边界清晰,切面呈胶状棕褐色,局灶性出血。(d) 镜下显示纺锤形雪旺氏细胞(*)与神经节细胞(箭头)混合在胶原基质中(HE×100)。
节细胞神经母细胞瘤(Ganglion neuroblastoma,GNB)又称恶性节细胞神经瘤,是一种少见的交感神经系统的恶性肿瘤,多发于腹膜后和纵隔,肿瘤不均质,出现钙化、坏死和出血比节细胞神经瘤更常见;大约70%的病例131I-间碘苯甲基胍(MIBG)中放射性示踪剂有摄取;常位于椎旁,起源于肾上腺髓质;主要见于2-4岁儿童和少年。
不规则肿块,边缘不清,肿块可沿着周围脏器嵌入式生长,可见“伪足征”;一般密度不均匀,组织可出现出血、坏死及钙化,钙化多为粗大颗粒状,包饶肾血管;增强扫描肿块呈明显不均匀强化,强化呈渐进性。

a68bde18b878d17bbe15b992ccbdd9fd.png 病例 32:(右侧肾上腺区)节细胞神经母细胞瘤1例不规则肿块,边缘尚清,肿块呈嵌入式生长,密度不均匀,内可见坏死及粗钙化灶,包饶肾血管;增强扫描肿块呈明显不均匀强化,强化呈渐进性。
神经母细胞瘤又称成神经细胞瘤,起源于神经嵴细胞,是儿童最常见的腹膜后恶性肿瘤,多在5岁内发病,好发于脊柱两旁,肾上腺(约66%)>椎旁交感神经链。本病较早发生转移,除局部淋巴结转移外,常见骨骼、肝脏、皮肤、颅内转移。
有分泌儿茶酚胺的功能多见于婴幼儿或儿童。肿瘤边缘不规则、呈圆形或分叶状,较大;无包膜;可出血坏死,密度不均;约80~90%的病例有粗大、无定形钙化,侵犯邻近结构,生长迅速,伴或不伴远处转移,包裹血管,管腔受压变窄,腹膜后肿块伴斑点状钙化不规则的增强。预后较差。
病例示例:
7efc337d99c3e502db05c1ba0fb98192.png 病例 33:(腹膜后)神经母细胞瘤  12月大女婴腹膜后巨大肿块,呈分叶状,密度混杂,强化不均。占位效应明显,邻近血管、脏器受压。

9bdaea2d3337ceb5c6cdefd8567e58e6.png 病例 34:(腹膜后)神经母细胞瘤  5岁男童肿瘤体积大,边缘不规则、呈分叶状;无包膜;密度不均;可见粗大钙化灶,肿瘤侵犯邻近结构,包裹血管,管腔受压变窄。
嗜铬细胞瘤是起源于肾上腺髓质的神经内分泌肿瘤,而肾上腺外副神经节瘤则起源于肾上腺外的副神经节(交感神经链),其中,肾上腺外副神经节瘤又分为头颈部副神经节瘤和交感神经副神经节瘤。肾上腺嗜铬细胞瘤和肾上腺外副神经节瘤统称为嗜铬细胞瘤和副神经节瘤( Pheochromocytoma and paraganglioma,PPGL)。
嗜铬细胞瘤和大多数胸腹盆腔副神经节瘤是交感神经起源(胸、腹部和盆腔的脊椎旁交感神经链),分为功能性和非功能性,功能性25%~60%出现间歇性高血压、头痛、心悸,尿中儿茶酚胺升高,无性别差异,好发年龄于30~40岁。
头颈部副神经节瘤多数为副交感神经起源(80%为颈动脉体瘤或血管球瘤),非功能性副神经节瘤可发生于任何年龄,好发年龄于40-50岁,无性别差异恶性副神经节瘤的比例约10%-15%。
PPGL患者临床症状表现较为宽泛,可能无症状、轻微症状或表现为典型症状。阵发性症状典型的三联征为头痛、出汗、心悸,可以持续数分钟至数小时,逐渐消退,发作频率从每日多次至每周,乃至数月一次或一次以上。
其他症状包括血压极其不稳定或难治性高血压史、体位性低血压、肾上腺瘤。较少见的症状包括忧虑、焦虑、腹痛、胸痛、乏力或体重减轻。
嗜铬细胞瘤的临床症状及体征与儿茶酚胺分泌过量有关,即所谓的“6H表现”:Hypertension (高血压),Headache(头痛),Heart consciousness(心悸),Hypermetabolism(高代谢状态),Hyperglycemia(高血糖),Hyperhidrosis(多汗)。
PPGL患者对药物反应有差别,β肾上腺素能拮抗剂和胍乙啶可使血压升高,而α1肾上腺素能拮抗剂可使血压显著下降。手术或麻醉时血压极不稳定提示嗜铬细胞瘤。排尿时出现阵发性症状及无痛性肉眼血尿。
嗜铬细胞瘤呈“约10%规则”,即大约10%在肾上腺外,10%呈恶性,10%为家族性,10%出现于儿童,10%瘤体在双侧,10%为多发性。
目前认为嗜铬铬细胞瘤具有潜在的侵袭性并可发生转移,但由于缺乏广泛认可的组织病理学诊断标准,2017 年 WHO 内分泌肿瘤分类中嗜铬细胞瘤不再分为良性嗜铬细胞瘤及恶性嗜铬细胞瘤。
嗜铬细胞瘤病灶通常为3-5cm,小者1cm左右,大者可达15cm。部分形态较规则,病灶内可出血、囊变、坏死、纤维化、脂肪变性、钙化等,约10%嗜铬细胞瘤内可见散在斑点状钙化。约2/3的嗜铬细胞瘤为实性,其余为囊性或囊实性。肿块密度均匀或不均匀,小的肿块密度通常较均匀。
平扫密度值对肾上腺肿瘤诊断具有重要价值,由于肾上腺腺瘤(Adrenal adenoma)常富含脂质,平扫CT值常小于10HU,而大多数嗜铬细胞瘤平扫 CT 值大于10HU,平均CT值约 35.9±9.8HU,少数情况下由于细胞内含有脂质,嗜铬细胞瘤的CT值小于10HU。若瘤内出血,则平扫CT值更高。
嗜铬细胞瘤通常为富血供肿瘤,增强后呈明显强化,囊性区域无强化。病变强化峰值在动脉期,可见肿瘤血管,呈早期、进行性延迟强化。文献报道注射造影剂15min后的延迟期可帮助鉴别腺瘤与其他肿瘤。延迟期腺瘤相对廓清率大于40%或绝对廓清率大于60%,而其他肿瘤如嗜铬细胞瘤相对廓清率小于 40%或绝对廓清率小于60%。但是嗜铬细胞瘤可发生病理上多种变性致影像表现不典型,易误诊为腺瘤或转移瘤。
MRI常表现为 T1WI低信号、T2WI高信号,T2WI也可呈低信号,增强后呈明显强化。同反相位信号变化常用于区分腺瘤与其他肿瘤,但由于嗜铬细胞也可发生脂肪变性,反相位上信号可减低,此时易误诊为腺瘤。
腹膜后及腹腔内副交感神经节瘤亦称非嗜铬性副交感神经节瘤,肿瘤常位于腹主动脉旁或其分叉处,通常较大,常有包膜,包膜上有弯曲粗大的血管,约1/3可转移至肺、肝肾上腺等处。副神经节瘤可同时伴发胃平滑肌肉瘤和肺软骨瘤。
副神经节瘤多呈囊实性肿块,坏死较多者,形成多囊样改变,并可见分隔,强化显著且持续时间较长,病灶周围或瘤内可见粗大强化的血管影及分隔样结构。副神经节瘤具有特征性MR表现,T2WI呈显著高信号,且肿瘤具有血管样显著强化。
肾上腺外副神经节瘤与嗜铬细胞瘤同属少见的神经内分泌肿瘤,虽同样起源于交感神经和副交感神经系统的神经嵴细胞,且两者的临床、病理及影像学表现类似,但恶性程度与预后却不一样。
病例示例:
747232722bb00273d525642751e8fdc9.png 病例 35:左侧肾上腺嗜铬细胞瘤  56岁男性,头痛、心悸就诊MRI 示病灶信号不均匀,含液-液平面,上层呈 T1WI 高信号、T2WI 高信号,提示病灶内出血。

ee1dde03b547dee7197672f4f7798c9b.png 病例 36:囊性嗜铬细胞瘤  45岁女性,无明显临床症状CT 平扫示右侧肾上腺低密度肿块,增强后病灶呈厚壁及分隔明显强化,内部以囊性为主。病灶囊性成分呈T2WI高信号,MR增强表现与CT增强表现相同。

21ed32e4df35ee25f3005e63a12f249a.png 病例 37:右侧肾上腺嗜铬细胞瘤  42岁男性右侧肾上腺肿块,呈 T2-FS 低信号,信号欠均匀,增强后呈明显强化。

0638f3188a3ef7fbdacb5dbc9f822f52.png 病例 38:左侧肾上腺嗜铬细胞瘤伴转移1例CT增强示左侧肾上腺肿块,密度不均匀,内见多个囊变坏死区及点状钙化。肝脏内多个低密度灶,骶骨及左侧髂骨骨质破坏,门腔静脉间淋巴结肿大。此例嗜铬细胞瘤生物学行为为恶性。

f77b665e8b6ac163125f7d626072fe18.png 病例 39:含脂质的嗜铬细胞瘤  49岁男性,难治性高血压就诊CT 平扫示左侧肾上腺病灶,密度较低,CT值约8HU。HE 染色示瘤细胞内含有脂质,此类病灶易误诊为腺瘤。

d78f96873ba1bae69db42520d3d292db.png 病例 40:嗜铬细胞瘤2例病例a T1抑脂反相位示病灶呈低信号,信号相对均匀;T2-FS 序列呈不均匀性高信号,约65% 嗜铬细胞瘤表现为T2WI 高信号。病例b T2-FS 序列示病灶呈低信号,尽管大部分嗜铬细胞瘤为T2WI 高信号,其也可表现为 T2WI 低信号。

a9dd1b7b60ddae31b2682e3a433c993e.png 病例 41:(左侧腹膜后)副神经节瘤1例20%的腹膜后副神经节瘤发生在肾上腺外,来源于脊椎旁交感神经链;大部分形态较规则,边界清楚,由于供血不均,部分容易坏死、出血、钙化和囊变,血供主富,增强后强化显著,可见肿瘤血管,呈早期、进行性延迟强化。

11b77622e265a21ed90c136aff4489c2.png 病例 42:左侧腹膜后副神经节瘤  62岁女性左侧腹膜后大肿块,边界不清,密度明显不均匀,内可见囊性坏死区及粗钙化灶,增强扫描可见实变区明显强化,中心囊性区未见强化。

7ec27ad74b080ecc216e51e462bf2d65.png 病例 43:含脂肪的副神经节瘤1例增强示腹主动脉旁病灶,呈明显强化,病灶内含有斑片状脂肪密度。
876c932d97c9df698f0d9b0c2123d636.png 病例 44:(腹膜后)副神经节瘤  47岁女性,体重减轻、腹痛和坐骨神经痛(a) 增强CT图像显示主动脉分叉水平肿块,中央坏死(*)和外周明显强化 (箭)。(b, c) T2WI及T1WI+C显示中央高信号坏死区(*)和明显的周边强化。(d) 大体病理显示边界清楚的包裹性肿块,病灶中央有粘液样和凝胶状成分(*),周围有红色出血(**)和黄色坏死区(箭头)。大口径血管(肠系膜下动脉)被肿瘤完全闭塞(箭)。(e) 镜下显示典型的zellballen生长模式,肿瘤细胞巢(*)被纤维血管隔 (箭头) 包围(HE×40)。(f) 高倍镜下显示嗜酸性粒细胞的细胞质、具有核仁的中央核和核内假包涵体(箭头)(HE×400)。

文章来源丨普外资料库版权归原作者所有,向原作者致敬,如有侵权,请联系我们进行删除。

回复 关闭延时

使用道具 举报

您需要登录后才可以回帖 登录 | 注册  

本版积分规则

快速回复 返回顶部 返回列表