设为首页
收藏本站
切换到宽版
登录
注册
搜索
搜索
本版
帖子
用户
快捷导航
首页
科学资讯
SCI期刊
中文期刊
科学基金
科学笔记
科学群组
科学群组
科学文库
科学家园
科学图片
查询
AI助手
问卷调查
相册
Album
爱科学
»
文库
›
医学文库
›
医学技术
›
脑发育性静脉异常MRI诊断
返回列表
查看:
1760
|
回复:
0
[中枢神经]
脑发育性静脉异常MRI诊断
[复制链接]
hyc3140
hyc3140
当前离线
积分
7052
864
主题
373
回帖
299
日志
荣誉会员
积分
7052
收听TA
发消息
发表于 2024-11-19 18:21:20
|
显示全部楼层
|
阅读模式
发育性静脉异常,是一种特殊的血管病变,主要由一条条、呈放射状排列的、像海蛇头一样的髓静脉组成,这些静脉之间被正常的脑白质分开。这些小静脉可以引流脑组织内的血液,流入一条扩张的浅静脉或深静脉。
发病位置这种病变通常出现在大脑幕上区域,尤其是额叶,但也可能在小脑和脑桥基底部出现。病变数量大部分是孤立的,但也有报道有多发的情况,比如蓝色橡皮疱痣综合征。同时,发育性静脉异常很可能伴随着海绵状血管畸形。
临床症状虽然这是一种良性病变,但有时可能会引发癫痫发作和出血。头痛是最常见的症状,其次是癫痫发作和肢体无力。大约有21%的患者会有压迫相关的症状,比如脑积水、耳鸣、脑干功能障碍、半面痉挛和三叉神经痛。72%的患者会有血流相关的症状,包括头痛、神经功能障碍、癫痫发作和昏迷。
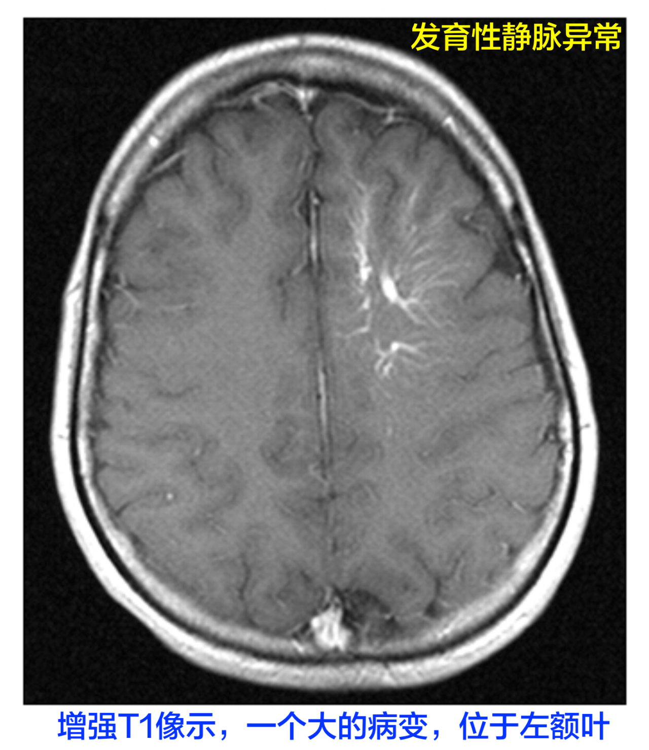
如何诊断诊断发育性静脉异常,脑血管造影是金标准,但增强的CT、MRI和MRA检查也能发现。在增强MRI-T1像上,可以看到特有的“日光照射”征。对于不典型的病例,血管造影结果具有诊断意义。具体治疗大部分患者需要接受保守治疗,主要是药物治疗头痛和癫痫发作等伴随症状。只有极少数患者需要考虑血管内介入闭塞疗法,比如出现相关出血或不受控制的癫痫发作。但是这种方法有静脉梗死的风险。另外,少数患者会出现有症状的发育性静脉异常血栓形成,这时可以考虑抗凝治疗。
发育性静脉异常发育性静脉异常,本质上是由放射状排列的、髓静脉组成(“海蛇头征”),这些静脉之间又被正常的脑白质分隔开来。这些小的静脉血管,能引流正常脑组织内的血液,并汇入到一条扩张的、浅静脉或深静脉里。位置病变常位于大脑幕上区域,主要在额叶。但也可见于小脑和脑桥基底部。数量大多呈孤立性,但也报道过多发病灶,如蓝色橡皮疱痣综合征。发育性静脉异常,很可能合并海绵状血管畸形(13%—40%)。表现属于良性病变,但有时可能出现癫痫发作和出血。头痛是最常见主诉,其次是癫痫发作和感觉异常-运动不能。
●21%的患者,存在压迫相关症状。最常见的,有脑积水、耳鸣、脑干功能障碍、半面痉挛和三叉神经痛。
●72%的患者,存在血流相关症状:→流入量增加,症状包括头痛、神经功能障碍、癫痫发作和昏迷。→流出量受限,临床特征类似于脑静脉血栓形成,患者可表现为头痛、癫痫发作和/或精神状态改变,机理是:颅内压升高、静脉淤血性水肿和/或脑实质内或蛛血。
●9%的患者,并未发现可解释症状的明显改变。
诊断虽然脑血管造影是诊断发育性静脉异常的金标准,但增强的CT、MRI和MRA检查,常可发现发育性静脉异常。在增强MRI-T1像上可见特征性的“日光照射”征,见下图:
对于不典型的病例,血管造影结果具有诊断意义:在毛细血管或静脉晚期相中,病变区域缺少正常的静脉,放射状排列的小髓静脉呈现特征性“海蛇头征”。
治疗绝大部分患者应接受保守治疗,并以内科治疗头痛和癫痫发作等伴随症状。极少数患者会出现相关出血、或不受控制的癫痫发作,此时可考虑血管内介入闭塞疗法。不过,具有静脉梗死风险。少数患者会出现有症状的、发育性静脉异常血栓形成,个案佐证支持抗凝治疗。
回复
关闭延时
使用道具
举报
返回列表
高级模式
B
Color
Image
Link
Quote
Code
Smilies
您需要登录后才可以回帖
登录
|
注册
本版积分规则
发表回复
回帖并转播
回帖后跳转到最后一页
扫码关注爱科学公众号
快速回复
返回顶部
返回列表