查看: 2598|回复: 0

[心胸] 囊腔型腺癌CT病例解读

[复制链接]

858

主题

372

回帖

298

日志

荣誉会员

积分
6858
QQ
发表于 2024-7-20 11:36:48 | 显示全部楼层 |阅读模式
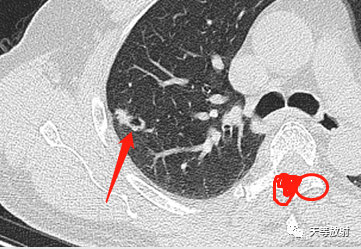
囊腔型腺癌CT病例解读。男性,64岁



2020.6.10
3d1048475a7ca5aeac63ba7e90ff18f0.png
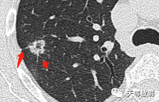
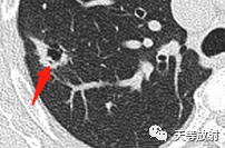
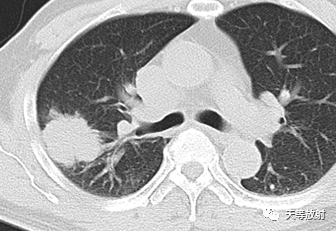
右肺上叶结节影,周围更小结节,形态不规则,胸膜面相对干净。
569d828a05faf789b1ebd453727644ef.png
实性为主结节,长条状影。

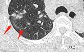
27c1b637ca1e79bb0691e64b16e95d9b.png
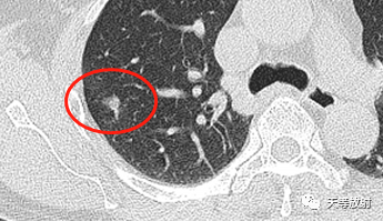
这个层面出现囊腔+实性结节,囊壁较厚。

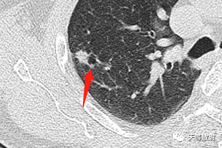
18d907124326f11affdbc1d6e92eed95.png
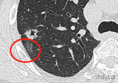
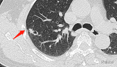
实性结节呈分叶状改变,邻近胸膜增厚,有牵拉改变,凹陷征。

a7e98dc190eda4f237165b2172b88d56.png

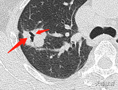
6cf77db83f88c8d13067b97c65d4c028.png
囊腔壁厚薄不一。
e9d19e20c7044eab7b29d1768b253fe0.png
囊腔周围见长条索状影,代表组织受到牵拉聚拢。此时病例的影像学特点:
病变发生于右肺上叶;
实性结节+囊腔
实性略呈分叶状,周围见长条索状影;局部收缩,胸膜凹陷;
囊腔壁厚薄不一。这个结节表现出一定的恶性征象:分叶状实性结节,胸膜凹陷及血管聚拢改变。


2021.5.10复查:
1eb0803d131c16622d73305e36efac02.png
分叶毛刺征象。实性成分较前增多。
dbbb076a123103511c96e5a7e580a6d7.png
内部囊腔壁明显增厚,且凹凸不平,厚薄不一。胸膜凹陷。

4ee8aa6f9f552934c188176de2c77406.png
远端磨玻璃影代表炎症或出血。

bac136301d4bef82de85dbdb29898597.png
周围晕征,代表出血或炎症。

8a1c2b3ba6572dba358f8034440286a5.png
囊腔凹凸不平,见空泡征。

99592b614b76f4791c82c1522b901390.png
空泡征。
18452fede713baed64c90996ffd44ede.png
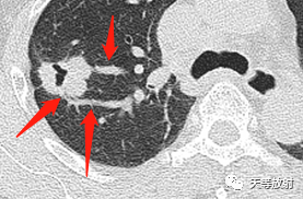
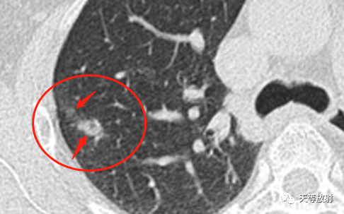
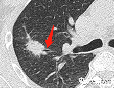
周围血管束明显增多。

ae53fcd28f4055b75fdde6def6b089a6.png
血管集束征,完全注入到结节内部。
f24b0172b707ca2c7e980c43cb316570.png
囊腔壁厚薄不一。

随访发现:结节实性成分增多,具备分叶毛刺及胸膜凹陷征。囊腔壁凹凸不平,有空泡征及血管聚拢,血管集束征。考虑腺癌。囊腔型肺癌--囊厚薄不一,壁僵硬,有分叶,囊壁实性成分内可见空泡征,远端见磨玻璃密度影,与常见的肺大泡完全不一样。



2022.2.14
2597dee3a918c3941ea61baab6e0242a.png
乱石征,多个结节堆积,代表淋巴管回流受阻。胸膜有凹陷改变。

ba21e71561e8cc503de956f9d1183382.png
这个考虑淋巴管回流受阻出血的细网改变。

353aa9138d4da4ef201632c36a70ce49.png
箭头所示,血管集束征。

885c71133693833287f3ef036629906c.png
囊腔内三叶草征,被逐渐增多的实性成分不断挤压和填充。
d05779c32ba780222f49de310100325b.png
支气管截断征象。

d226aa03f63acc72ad7a40db68404a89.png
支气管截断征象。


2022.7.6

d33ac6b627f9c110695a6731d4d06c0a.png
这个时候来复查,病灶已经很大了。

857b02e20003327b0f332fec24a4f514.png
淋巴结及肿块内部有凝固坏死。
0d1a0fc12a3df20423a29906c48edf98.png
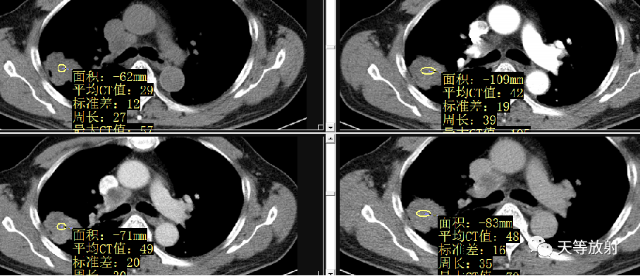
动脉期强化峰值很高,静脉及延迟期维持较高强化。

2bfbbb11f015f44e7a146d7236a034fa.png

ff34e3d03357fd16eb8396a073e41cdf.gif

囊腔型肺癌
原发性囊腔型肺癌属于特殊肺癌的类型,存有独特的病理学特征。部分学者认为可根据形态特征,将这一类型的肺癌定义为薄壁空洞型肺癌。但部分学者提出了这类肺癌的核心形态特征应为薄壁的囊型,不能仅依靠检测成像的空洞而定义这一类型肺癌。因而其提出的定义为薄壁囊型肺癌。

气囊腔肺癌属于特殊类型的肺癌,具有薄壁的特征,通常壁厚小于4mm,且超过3/4的囊壁。临床中可由肺实质性病灶演变而来。
气道狭窄后导致回阀机制停止。肿瘤组织沿肺泡壁垒生长,以支气管为方向不断延伸,或肿瘤直接生长支气管壁上,在影像学上会表现磨玻璃密度影像。
随着肿瘤细胞的发展,在支气管细胞缺乏软骨的情况下,肿瘤细胞将发挥活瓣的作用。在空气不断进入肺泡的情况下,肺泡壁会发生破裂,肺泡不断融合后,会形成一个独立的薄囊气囊腔。气囊腔的体积会随着气体的增多而不断增大。病理类型肺泡癌、鳞癌与小细胞癌,其中腺癌所占比例最大,一般超过 70%。
影像学特点
1、囊腔内壁较为粗糙、呈现为实质性状态;
2、囊壁内壁厚度不均;
3、实性成分逐渐增多;
4、壁结节表现为恶性征象:毛糙、分叶、血管集束及胸膜凹陷


希望疫情早日结束!
回复 关闭延时

使用道具 举报

您需要登录后才可以回帖 登录 | 注册  

本版积分规则

快速回复 返回顶部 返回列表