查看: 7626|回复: 0

[骨肌] 常见足踝部籽骨、小骨及变异的影像学表现

[复制链接]

864

主题

373

回帖

299

日志

荣誉会员

积分
7102
QQ
发表于 2024-6-15 23:46:10 | 显示全部楼层 |阅读模式
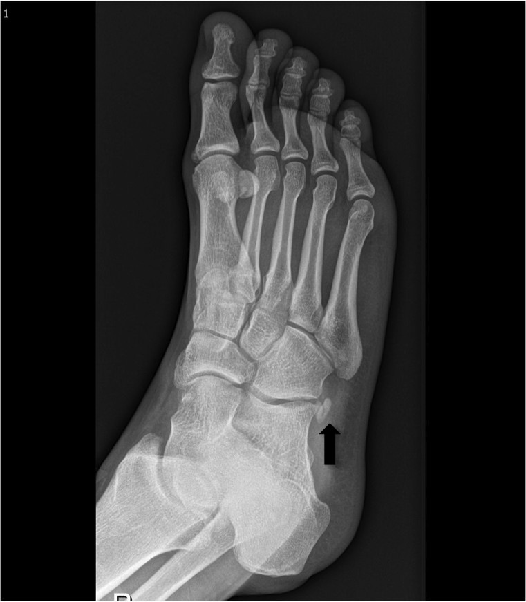
附件骨只是一块小骨头,在脚踝和足部,小骨可能是骨化的附属中心,或者是籽骨。在MR上,小骨通常具有脂肪信号。
骨化的附属中心是骨化的变异中心,与母骨相关联,它们在青春期可能融合或不融合。在后一种情况下,通常存在软骨联合(或者,较少见的是韧带联合)。所有这些变异骨化中心可以是双侧不对称的。图1可以看到在足踝部有大量的附件骨的存在。下面我们将列举常见的附件骨的影像学表现。

c1e893262cd4f754729c9dafe16cbdfb.jpg
图1A

0ed3f220b8ff45f5b6cccbbced9e97fb.jpg
图1B

acbd0ff55b8e9bc1342286296647eb47.jpg
图1C
距骨后外结节、三角骨
距后三角骨是由于距骨后方骨化中心在生长过程中没有与距骨的其他部分融合而形成的一块附属骨。距后三角骨的发生率为1.7%至7.7%,其实是踝部最多见的副骨,通常没有症状。由距骨后突独立骨化中心骨化形成。
与距骨有软骨相连或完全分开,可表现为独立的小规则骨块。但对于足球、体操和舞蹈等运动项目,跖屈动作过多会导致距后三角骨在胫骨后唇和跟骨之间撞击,引起后踝关节慢性反复疼痛则考虑三角籽骨综合征,踝关节深度屈曲时,患者足跟后部或后外侧常发生疼痛和肿胀。

0879c3722c8180bc394f80b2094dca76.jpg
图注:踝关节的矢状(A)和轴向(B)PD加权图像。注意存在肥厚的距骨后外结节(白色箭头)。肌腱鞘中存在轻微的关节积液和一些液体,但由于这两者经常交流,仅基于这些发现没有足够的证据证明后踝撞击综合征。
踝关节后部结构的急性或重复性压缩通常被分类为后踝撞击综合征,Haglund综合征或后内侧踝撞击综合征。这是由于后足踝骨和软组织解剖结构的变化导致踝关节后方撞击综合征和Haglund综合征。
存在三角骨或距骨后外结节通常与后踝撞击综合征相关,后者在后一种情况下被称为三角籽骨综合征(os trigonum syndrome)(图2)。
踝关节后部撞击综合征的其他可能原因是:后部韧带撕裂的瘢痕,后滑膜囊肿或滑膜炎,后关节凹陷的游离体和关节周围钙化。长期OS trigonum综合征可导致软骨结合退行性改变,软骨下硬化,软骨下囊肿,骨重建。

059913fa2db65c51e83edbc809b219c6.jpg
图2:在急性三角籽骨综合征踝关节的矢状的(A)和轴向(B)T2加权的MR图像。有一个大的三角区,伴有软骨和后外侧距骨的水肿,胫骨关节的重要积液,以及腱鞘炎。
CT是区分潜在骨折和距骨后外侧结节的解剖变异的首选方式。急性骨折有非僵硬,不规则的边缘。CT在证实慢性OS trigonum综合征的退行性改变方面也具有优势(图3)。

cd26659ba4d357e1b85ac124cb176e37.jpg
图3:长期os trigonum综合征中踝关节的矢状位(A)和轴位(B)CT图像。清晰可见软骨下硬化和小囊肿(白色箭头)。
后踝关节MR成像可见后面的厚的、不规则的、异常的骨质提示后踝撞击综合征。MR可以显示软骨内部的液体,软骨的明显破坏与三角骨的位移,软骨的退行性变化,后外侧距骨和/或周围软组织的水肿,滑膜炎,包膜增厚和后部的游离体,拇趾屈肌腱腱鞘炎,评估后部撞击综合征所涉及的韧带结构。慢性、退行性变化可被视为T2加权和T1加权图像上的软骨下囊肿和T1加权图像上的软骨下硬化。
后内侧踝撞击综合征没有确定的诱发解剖变异,但通常遵循踝内翻损伤,内踝和距骨之间的后胫骨韧带受压。
距舟骨 os supranaviculare
距舟骨(图4),也称为os talonaviculare dorsale或Pirie骨,是一个圆形且皮质良好的骨化辅助中心,位于舟骨近端背侧皮质的中点。

45061bbdf3fecf41bb5390ef0278eb91.jpg
图4:踝关节扭伤的20岁女性足部的侧位X线片显示,在舟骨近端方向背侧皮质小骨皮,与上睑下垂(白色箭头)一致。射线照片还显示了os subfibulare(腓下骨)(黑色箭头)和胫骨-距骨关节中的一些液体(黑色星号)。
如果这地方出现症状,主要诊断目的是鉴别舟骨或距骨皮质撕脱骨折,当踝关节的广泛背曲使距舟关节的分离和背距舟韧带的过伸型可以发生此撕脱。这导致骨片从距骨头的背部脱离。
跖间骨os intermetatarseum
跖间骨(图5)是一种相对不常见的足部辅助骨,通常位于第一和第二跖骨基部之间,通常是双侧的。发病率介于1.2和14%之间。其病因尚不确定:可能是由于跗骨骨间质形成时的变化,或者它可能是真正的骨化辅助中心。
大多数跖间骨无症状,出现症状的患者会抱怨疼痛和感觉异常,从足背到拇趾和第二趾的麻木,随着跖屈而增加,这些症状也被称为前跗管综合征,其由下部支持带压迫深腓神经引起。CT或的足标准前后位、侧位和斜位X线片以识别跖间骨并确定某些体征,例如疼痛的位置,形状和大小。

49afd133e444913fa49772baff7da524.jpg
图5:一名男子右脚的前后位X线片,在第一跖间间隙的右脚中部背部有压痛,显示有一个跖间骨(黑色箭头)。
第二节跟骨 os calcaneus secundarius
os calcaneus secundarius是一种罕见的足部骨化中心,占人口的0.6%。它位于跟骨前内侧,两侧是距骨,骰骨和舟骨,呈卵形或三角形。跟骨骨关节炎很少引起症状,并且通常是常规X线片上的偶然发现。患者可出现疼痛,距下关节活动度降低和踝关节反复扭伤。
平片显示跟骨前方皮质小骨块,足斜位片(图6和图7)最好可视化。CT更适合评估与相邻骨骼的关系。在MR上,在前跟骨突附近可见小骨块,如果跟骨骨关节炎是症状性的,那么在辅助小骨和前跟骨中都存在反应性骨髓水肿(图7)。

6483d4f6ff12929b7b0a83ca50b6a63d.jpg
图6:患有慢性踝关节疼痛且无创伤史的32岁女性右脚的斜位片(A)。一个附件骨(黑色箭头)被投影在跗骨窦。位置和光滑的皮质是跟骨跟骨的特征。在前后视图几乎看不到小骨。

a1fe49354e94a34066fd2c117dc08570.jpg
图7:具有踝关节疼痛并且没有任何创伤史的60岁女性,(A)的左脚踝的斜位片显示附件骨碎片(黑色箭头)。矢状PD加权脂肪饱和MR图像(B)证实在小骨和前跟骨突(黑色箭头)中存在附件小骨(黑色箭头)和骨髓水肿。这些发现与跟骨跟腱或跟骨上方的撕脱性骨折相容,但考虑到创伤的消退,撕脱性骨折的可能性较小。
足副舟骨 accessory navicular bone
根据Geist的描述,已经描述了三种变体(图8),集体发病率为4%至21%。
1型附件舟骨(也称为os tibiale externum)(30%附属舟骨)(图9和图10):是一个明确的圆形到椭圆形骨,直径2~3毫米,位于舟骨结节内侧和后方5毫米;通常是无症状的。

3cdc4967fce05a32f653401011befd5e.jpg
图8:不同类型的附件舟骨的示意图,根据Geist:1型(A),2型(B)和3型(C)。

c9d3c05ccd47ae01e21dac079d7eff59.jpg
图9:无症状50岁女性(A)左脚的前后位X线片,显示内侧和近端舟状结节的圆形小骨:辅舟骨1型(白色箭头)。左脚(B)的超声波显示嵌入胫骨后肌腱(白色星号)的附件舟状类型1(白色箭头),肌腱插入点紧邻舟骨上(白色箭头)。

4c64e5b4bf4d3367e56ec3c45f2e94e1.jpg
图10:无症状25岁男性右前足的前后位X线片(A),显示在舟状结节内侧有明确的圆形小骨:1型辅舟骨(白色箭头)。右脚的轴向T1加权MR图像(B),显示无症状1型附舟骨(白色箭头),T2加权图像上没有骨髓水肿(未显示)。矢状(C)斜冠(D)一名51岁男性右脚踝的PD加权图像,显示嵌入胫骨后肌腱的1型辅舟骨(白色箭头)。
2型附舟骨(50~60%)(图11):是一个半球形的骨头,最大可达12毫米,通过1~2毫米厚的纤维软骨或透明软骨层(韧带联合或软骨结合)与舟状结节相连;胫骨后肌腱插入其圆形表面,其较平坦的表面与舟骨相对,双足对称约50~90%。

353af198fac6295cef33f21144ea8cf2.jpg
图11:具有内侧足痛的25岁女性的右脚的前后位X线照片(A),轴位STIR加权MR图像(B),矢状PD加权图像(C)和矢状STIR加权图像。这些图像示出了2型附件舟骨(白色箭头)与骨髓水肿在软骨结合的两侧上,在相邻的软组织(黑箭头)延伸。胫后肌腱(白星号)大多插入到附件舟骨。
3型附舟骨(也被称为角状舟骨)(10~20%)(图12):是一个非常突出的舟状结节,被认为代表由一骨性愈合融合到舟骨(而不是一个韧带联合或软骨结合)2型附件舟骨。

8070477ce6f9e8588f90be34b21c94cb.jpg
图12:无症状的45岁男性,右脚的前后(A)和斜(B)平片显示出角状舟骨(白色箭头)。
由于2型或3型辅助舟骨的存在,胫骨后肌腱的踝关节的杠杆减少(图13)。这会对肌腱造成更大的压力,从而增加肌腱病变的风险。临床上,患者可出现扁平足畸形(及相关的后足外翻)。在MR上,可以看到信号的改变和轮廓的改变。

f54664d736f685436de8839d01e10431.jpg
图13:2型和3型辅助舟骨的功能反应示意图。由于将胫骨后肌腱插入2型或3型辅助舟骨(由红线表示)比在正常舟骨上插入(蓝线)更接近,踝内侧的踝关节(虚线))在后一种情况下,肌腱减少。这增加了肌腱的压力,易患肌腱病变。
在2型附件舟骨的情况下,胫骨后肌腱的重复收缩可在同步性和附属舟骨处产生剪切应力并产生内侧足部疼痛。CT显示皮质不规则,有时甚至是附件舟骨的碎裂。MR显示骨内的骨窄水肿和/或同步化和周围软组织的高信号强度。甲外翻应力损伤甚至可能断裂的软骨结合。3型附件舟骨可能通过引起上覆软组织的刺激而变得有症状,可能形成外膜囊。
腓籽骨 os peroneum
腓籽骨是腓骨长肌腱内的籽骨。腓骨长肌是一种强壮的足外翻肌。其肌腱在外踝周围向下穿过,位于跟骨的外侧表面和长方体的凹槽,进入足底。沿着肌腱的过程可以存在两种解剖变体:肥厚的腓骨结节和腓籽骨。
腓籽骨是最常见的足小骨之一,发生率在5%到26%之间变化。它在大约60%的病例中是双侧的,并且具有可变的外观,在大约30%的成人中是二分的或多部分的(图14)。

d806422ff488a57b3c3aab48ba61d8fd.jpg
图14:右脚踝的斜位片,显示多个腓籽骨(黑色箭头)。有多个具有硬化和圆形边界的骨质颗粒。
组织学上,腓籽骨由骨和纤维软骨组织的可变混合物组成。纤维软骨物质存在于肌腱中,它们缠绕在骨性滑轮上。机械应力导致肌腱纤维软骨部分中心的软骨骨化。骨化程度是可变的,一些表现为形成良好的松质骨,而另一些则仅有少量弥漫和点状的骨小梁。因此,腓籽骨的尺寸范围从小的点状到骨块。这些点状骨不应被误解为钙化性肌腱炎。
这种可变的组织学组成反映在成像研究中。只有20%的成年人,腓籽骨是完全骨化的,并且在脚的斜位X线片上可以看到。US在检测非骨化纤维软骨残余物时比射线照片更敏感,因为超声波在检测具有不同声阻抗的结构时非常敏感。
在MR成像中,在所有脉冲序列中,小骨表现为骨髓或软骨的离散区域,不应与腓骨长肌腱的内部撕裂混淆。腓籽骨大多无症状,并且出于其他原因进行的成像研究中偶然发现。然而,由于其表面和内部位置,邻近骰骨并嵌入腓骨长肌腱,腓籽骨易于发生急性和慢性损伤。
急性损伤发生在直接创伤或足部强力倒置/旋后,伴有腓骨长肌腱剧烈收缩,而慢性损伤则是足部重复或复发性损伤。
疼痛性腓骨肌综合征(painful os peroneum syndrome)或POPS(腓骨长肌腱籽骨痛综合征),由Sobel等人创造的术语,包括一系列症状,如腓骨长肌腱的明显破裂或疲劳骨折,(狭窄)腱腱腱腱炎,腓籽骨的急性或慢性骨折(有时由肥大愈伤组织形成复杂),腓籽骨的大部分分离,或腓籽骨对邻近结构的慢性机械应力(腓骨腓骨摩擦综合征)。
腓籽骨骨折可与腓骨长肌腱的完全破裂相关联。体格检查显示骰骨区域有肿胀和压痛。足底屈曲抵抗和步态的足跟上升阶段加剧了疼痛。外翻强度可以降低。POPS是侧足疼痛的罕见原因,并且由于其罕见性而容易被忽视。
平片是急性创伤环境中的首选成像方式。无法评估软组织异常的存在。具有不规则轮廓的骨片与“拼图”相似,表明骨折(图15)。6mm或更大的碎片位移可以诊断骨折并发腓骨长肌腱完全破裂。

fb7d9845233121f1f73423739bd5d26c.jpg
图15:左脚的斜位片显示腓籽骨骨折(黑色箭头)。骨碎片具有不规则的轮廓,并且作为“拼图块”组合在一起。
高分辨率超声可以显示皮质骨不规则,因此,可以补充平片对腓籽骨骨折的诊断。此外,超声探头在压力下局部疼痛是暗示了腓籽骨(应力)骨折。超声可能显示腓骨长肌腱的相关异常:肌腱变性:肌腱低回声增厚不均匀。腱鞘炎:腱鞘中的消声液。腱鞘滑膜的低回声增厚,肌腱的活动性降低,表明腱鞘炎狭窄(图16)。部分撕裂:加厚肌腱内纵向消声分裂。完全撕裂:充满液体的间隙或肌腱的不连续性。

fcd8cc00d7b06ed5c0dda042c7a00c82.jpg
图16:外侧踝关节的超声检查,伴有增厚的、不均匀的腓骨长肌腱(黑色箭头)和增厚的低回声肌腱鞘(黑色箭头),表明肌腱炎伴有狭窄性腱鞘炎。
MR具有极好的检测骨髓和软组织水肿的能力:早期诊断腓籽骨和邻近结构的应力反应(图17)。

a2b13a57986d74f9ef4049841f670e87.jpg
图17:POPS中左踝的矢状PD加权脂肪饱和MR图像。在腓籽骨(白色箭头)以及相邻的软组织和腓骨长肌腱(白色箭头)中存在骨髓水肿。
腓骨长肌腱异常的诊断可以是:
退变:所有脉冲序列上肌腱的信号强度增加(图18)。陷阱:角效应。当肌腱纤维与主磁矢量形成约55°的角度时,尤其是当使用短回波时间(T1,PD和梯度回波序列)时,可能会发生这种情况。腓骨肌腱特别容易受到角效应的影响,因为它们沿着脚踝向下移动。在轻度跖屈(约20°)下对足部进行成像可以避免这种现象。

ad38ef33c8ab69c8d156ab5f31b2566a.jpg
图18:右踝的冠状PD加权脂肪饱和MR图像显示腱长肌腱的信号强度增加和增厚,指示肌腱变性(白色箭头)。
腱鞘炎:肌腱周围的高信号流体(图19)。当滑膜增生和纤维化包围肌腱时,发生狭窄性腱鞘炎,从而阻止其自由移动。狭窄的腱鞘炎作为所有脉冲序列的中间信号强度出现。钆增强和流体的完全闭塞也可以看到。部分撕裂:肌腱内的高信号强度纵向裂缝。完全撕裂:高信号强度和肌腱不连续。

821d890847a8d1627301c18423ed0773.jpg
图19:右脚踝的矢状面STIR加权MR图像显示腓骨长肌腱的腱鞘炎,腓骨长肌腱周围有高信号强度的液体(白色箭头)。
在腓籽骨骨折的情况下,MR成像可能是模棱两可的:远端碎片的小尺寸和低信号强度可能导致可视化困难。较大的近端碎片可以在跟骨关节附近几厘米处分散注意力,腓籽骨中的骨髓水肿也可能使腓籽骨骨折的评估复杂化,因为水肿很难与相邻的腓骨肌腱异常高信号强度区分开来。
籽骨 Sesamoids
籽骨是受压较大的肌腱内生成的和中小骨,人体中最大的籽骨是——髌骨,由股四头肌肌腱骨化而成。其他部位的籽骨是不恒定的,有的人有,有的人没有,一般而言,从事体力劳动或体育运动的人较多,多位于足底,肌腱通过关节的附近。一般多发生于足部第一跖骨头端处。
在功能上,它们起到保护肌腱和增加其机械效果的作用。像骨化的辅助中心一样,籽粒可能不是双侧对称的。与其他小骨不同,籽骨可以是滑膜关节的一部分,并且具有一个或多个关节面。
大脚趾的籽骨几乎总是存在;它们可以在第一跖骨头下面找到,嵌入屈肌腱肌的内侧和外侧肌腱滑动,在它们插入第一近端指骨的基部之前,分别与外展肌和内收肌的远端肌腱混合。它们可能是单一的,二分的(占人口的10%)或多个。二分类籽骨通常较大,并且25%的人两侧对称(图20)。

09c6d5598a10d022ad4627fab8f47ba6.jpg
图20:双足正位X线片,显示第一跖骨远端的籽骨,在创伤性环境中,使用CT进行区分,优选与对侧进行比较。
一些研究报告了二分胫骨籽骨和拇外翻之间的关联;二分籽骨比多分籽骨形态更圆;关节镜更容易观察内侧籽骨;由于所在位置承受力更大,内侧籽骨创伤性损伤的发生率更高。骨化发生在7至10岁之间,女性早于男性。先天缺失籽骨在人群中占有的比例极少。胫腓侧籽骨通过厚的韧带相互连接,其作为屈肌腱长肌腱的反射皮带,并且通过薄的浅表韧带进一步稳定(图21)(图22)。骨折,骨软骨炎,类骨质炎,缺血性坏死和关节炎的病变是相对常见的病理。

183c1a6432d3f3362e0fc9a907953255.jpg
图21:通过第一跖骨头的足底面的横向视图的示意图,显示了由粗的韧带韧带(箭头)和较薄的浅表韧带(箭头)包围的籽骨和屈肌腱长肌腱。

5b3291ddc2f191f5c9b842cfa3586ae0.jpg
图22:通过拇趾和远端第一跖骨的足底纵向的纵向视图的示意图,显示了由骨质-指骨韧带组成的籽骨,足底板,屈肌短肌腱和包裹韧带复合体(1),侧副韧带(2),跖趾韧带(3)和鞘内韧带(4)。未显示屈肌腱长肌腱和浅层骨质韧带。
图23:冠状PD加权脂肪抑制的MR序列显示骨折伴骨髓水肿。只有一个小的内侧籽骨。在韧带复合体的内侧,在足底屈肌内侧头,内收肌拇长横向头和内收肌斜头的混合肌腱中存在明显的足底破裂和部分破裂。

775611524bd38c06886341ea09dbfb96.jpg
图24:足部前后(A)和斜(B)射线照片。31岁女性,腓侧籽骨纵向骨折。

13a0dcc4cc59d4755aa6f8958981c017.jpg
图25:右胫侧籽骨的轴向T2加权MR图像。未移位的骨折,伴有不规则的纵向骨折线和强烈的骨髓水肿。

a211ed939b11bb9aabb5a51b058d7b9d.jpg

图26:拇趾籽骨双侧轴向X光片。右侧骨质的骨软骨炎(白色箭头)与正常左侧相比具有碎裂和密度增加。
图27:来自51岁女性的冠状T2加权脂肪抑制的MR序列。注意第一跖趾关节有小关节积液,胫骨骨质水肿和不规则突出,表明有籽骨炎。

f4e21827e18d37da7b28205d2f3fa983.jpg
图28:在拇趾籽骨的水平,冠状T1加权(A)矢状T2加权(B)的MR图像。关节间隙的缩小和骨赘。T2图像显示第一跖骨头部的大的软骨下囊肿(白色箭头)。
有文献报道有症状的二分类籽骨有相当多的发生率,特别是当与拇外翻相关时。在MR上,在没有创伤背景的情况下,在二分籽骨附近的两侧集中的骨髓水肿可能表明这个有争议的实体(图29)。在MDCT正式排除(压力)骨折后,应该谨慎诊断有症状的二分类骨质作为病理实体。
双足正斜位片可以首先观察到踇趾籽骨,并给出他们的左右对称的概述。此外,他们可以建议存在骨折。侧位X射线通常不能用于评估与籽骨相关的疾病。由于CT更好地显示边缘皮质而不是X线片,因此它在二分籽骨和骨折之间的鉴别中是必不可少的。优先扫描双脚,以便进行比较。MR在显示骨髓水肿和评估周围软组织结构的完整性方面具有优势。

3a26713b6c954c7ae38b65a5836d0852.jpg

图29:在第一跖趾关节的足底侧引起慢性不适,没有创伤史。双侧胫骨籽骨的轴向T1加权(A)和矢状STIR(B)MR图像,注意两个片段中的斑片状水肿,尤其是裂隙附近(白色箭头)。
第五跖骨粗隆(有时分离成单独骨)OS VESALIANUM
os vesalianum是脚的附属骨化中心,位于第五跖骨近端,位于腓骨短肌腱内。发病率范围从0.1%到0.4%。

倾斜X线片(图30)和CT显示第五跖骨基部外侧的小皮质骨。

770210479371713eb6548a70a860a2e0.jpg
图30:一名39岁男性左脚踝关节扭伤的斜照片,显示第五跖骨底部有皮质小骨,与os vesalianum一致。
如果它变得有症状,主要的诊断目标是鉴别os vesalianum与第五跖骨基底的骨化凸起起,第五跖骨基底的骨关节炎,第五跖骨结节骨折,非第五跖骨结节骨折的联合,第五跖骨基部的骨不连,或腓侧跗余骨(os peroneum)。
腓下骨 os subfibulare
腓下骨起源于外踝尖下的辅助骨化中心,约占一般人群的2.1%。小骨通常无症状。偶尔,患者出现外踝周围疼痛或踝关节不稳,反复扭伤。os subfibulare通常是平片上的偶然发现,显示为圆形或逗号形状的骨,在外踝下方具有明确的皮质(图31)。

eb02b6d932f819558f5d3ead96638a84.jpg
图31:14岁女孩,患有慢性疼痛和反复踝关节扭伤,右踝关节正位片显示,远端外踝的小骨(白色箭头)。光滑和明确的皮质表明腓下骨或旧的撕脱伤。
当有症状时,MR图像通常显示腓骨肌和邻近骨中的骨髓水肿(图32)。另外,可以注意到关节积液和/或软组织肿胀。

72603d99f36a845ad6c4c84fd1bcfec8.jpg
图32:与图31中相同患者的冠状PD加权MR图像(A)证实存在与腓骨密切相关的小骨片(白色箭头)。冠状PD加权脂肪抑制MR图像(B)显示腓下骨中的骨髓水肿(白色箭头)。
有症状的腓下骨的主要鉴别诊断是外踝的撕脱性骨折。在大多数情况下,可以根据记忆和临床原因轻易地进行分化:创伤史和肿胀的外踝高度提示了撕脱伤。平片显示撕脱碎片和外踝尖端的皮质不规则。在MRI上,近期骨折的特征是与骨折线相邻的T2-高信号骨髓水肿。
哈格伦的畸形 Haglund exostosis
Haglund外生骨疣是跟骨后上方的骨结节,位于后跟囊附近。这种外生骨疣的慢性反复压迫,通常与低背鞋相关,可能导致后跟囊和跟腱炎的炎症,一起被称为Haglund综合征。
平片描绘了跟骨后部的异常结节,可用于绘制平行的节线(图33)。用于诊断Haglund外生骨疣的最常用的测量方法是沿着跟骨的上下方面绘制的平行节线。上线上方的任何骨性突出都是异常的(图34)。后跟脂肪垫的变化是滑囊炎的指标。

a4b4c41d1247e74120a723ce10becc03.jpg
图33:50岁女性右脚踝的前后(A)和侧面平片(B),显示Haglund外生骨疣(白色箭头)以及相邻脂肪垫(白色星号)的轻度消失,提示相关的滑囊炎。

e999765be16b7b175070fa19fd8a4eaa.jpg
图34:用于诊断Haglund外生骨疣的平行间距线(粉红色)的示意图。下节距线(P1)与前跟骨结节相切。然后在距下关节面的水平处平行于下线绘制上节距线(P2)。如果跟骨结节延伸到上线,它会扩大并形成Haglund外生骨疣(绿色)。
超声是诊断滑囊炎和跟腱炎的极好方法,描述了滑囊的过多液体和充血以及跟腱的增厚(图35)。

2daf4f1165e12740b0043837abdd0161.jpg
图35:与图33相同的患者,超声更好地显示了充满液体的后跟囊(白色箭头),表明由于邻近的Haglund畸形引起的慢性刺激引起的滑囊炎。
MRI可能有助于模棱两可的病例,因为它可能另外显示后跟骨结节中的骨髓水肿。PD和T2加权序列也可描绘后跟角囊的液体(图36)。的外生骨疣本身是在T1加权序列最佳观察方法。

bc37dc9718874c13b4ee12bb897ca16d.jpg
图36:65岁男性左脚踝的矢状面STIR加权MR图像,显示Haglund畸形(白色箭头)中骨髓水肿的局部区域,伴有相关的后跟滑囊炎(白色星号)。跟腱远端部分呈梭形增厚(白色箭头),表明肌腱变性。
外踝下结节 peroneal tubercle
腓骨结节和逆行隆起是位于跟骨外侧骨突起。腓骨结节存在于40%的个体中,并且将腓骨短肌腱(前部)与腓骨长肌腱(后部)鞘分开。与下腓骨支持带一起,这个骨嵴形成含有腓骨长肌腱的下部纤维骨质隧道(图38)。腓骨结节的形状和大小的变化是常见的。Saupe等人研究确定腓骨结节肥大的高度>5mm。

95860e1e3266d41386a13e1aa5434b85.jpg
图37:踝关节侧面的示意图,显示腓骨结节(黑色箭头),腓骨籽骨(白色星号),腓骨下支持带(黑色星号),腓骨长肌腱(黑色箭头),以及腓骨短肌腱(双黑箭头)。

b425e5489aae5fdf82cd119ef89d08b2.jpg
图38:右踝的照片,在腓骨踝(黑色星号)下方具有明显可见的隆起(黑色箭头),对应于肥厚的腓骨结节。
在具有显着肥大的受试者中,结节可以被触诊为位于跟骨外侧的局部坚硬肿块,仅位于外踝下方(图38)。由于穿鞋时的慢性摩擦,结节可能由于皮肤和皮下软组织的炎症而引起局部疼痛。外膜囊可以使腓骨结节浅表,并且在发炎时可能有症状。
肥厚性腓骨结节导致下部骨纤维隧道直径的显着减小,可能导致腓骨长肌腱,慢性退行性肌腱病和/或腱鞘炎的撞击。由于持续的局部摩擦,肌腱可以扩大,下部支持带可以变厚,导致隧道尺寸进一步减小,腱鞘炎狭窄。慢性摩擦和变性最终可导致部分或完全的肌腱撕裂。
标准X线片常表明这种畸形(图39)。跟骨的另一个轴向视图清楚地显示扩大结节为起源于跟骨外表面并横向指向的骨组织。

a6fcb3d9a2a889488b83897917113da4.jpg
图39:右脚踝的前后位X线片显示来自跟骨外表面并指向侧面的肥厚性腓骨结节(白色箭头)。
CT可以提供结节形态的准确记录(图40和图41)。

de727282525fb195c475647d8e52029e.jpg
图40:右踝的轴向CT图像,具有肥厚的腓骨结节(白色箭头)和滑车隆起(白色箭头)。

6856bf76613b374b04a8ce0c64276d76.jpg

图41:具有肥厚性腓骨结节的右踝的冠状CT图像(白色箭头)。
MR清楚地显示了扩大的结节和相关的软组织异常(图42)。

f0129afbb5c51d0fb985d4d53d71ca45.jpg
图42:右踝的轴向T1加权MR图像,具有肥厚的腓骨结节(黑色星号)。
跗骨联合 tarsal coalition
跗骨联合是在后足和中足的两个或多个骨骼之间的先天性纤维性(韧带联合),软骨(同步性)或骨性(骨性关节炎)的联合。跗骨联合的总发病率为1%。联盟通常是双边的(图43)。联盟的频率要低得多。跗骨联合限制正常的距下运动,并可导致脊状扁平足畸形,疼痛,压痛,僵硬,跗骨隧道综合征和腓骨痉挛性扁平足。随着联合的逐步骨化,症状变得更加明显,尽管一些联合仍然没有症状。


10ceaa4d101f6cfd0eee650a3fdc6280.jpg
图43:14岁女孩右脚的侧位片(A),冠状PD加权脂肪饱和MR图像(B)和矢状T1加权MR图像(C),显示纤维性关节联合伴有周围骨髓水肿和相关的退行性改变(B和C中的白色箭头)。

1331370173fd673c5e8a01402711cf95.jpg
图44:具有非骨性跟骨关节联合的20岁女性的平片。左脚的前后位X线片(A)显示舟状骨比距骨头更宽,并且舟骨的横向方向逐渐变细(黑色箭头),以及与跟骨(黑色箭头)的异常关节。左脚(B)的侧位X线片显示“食蚁兽”标志:跟骨的扩大和伸长的前部过程(黑色箭头)。双脚(C)的斜射线照片显示双侧非骨性跟骨关节联合(黑色箭头)。

4d27b1beb7b2cd9a5af433c016a93693.jpg
图45:42岁女性(A)右脚的侧位X线照片,其中一个跟骨联合显示C形标志(白色箭头)。中间小关节不可见(黑色箭头)。sustentaculum tali具有弯曲的下表面而不是其正常的平坦轮廓。一名54岁男性(B)左脚的侧位X线片显示有一个距骨喙(白色箭头)和一个距骨骨赘(白色箭头),一个畸形的支架(黑色箭头)和一个扁平足畸形。

010062c80e16a01c40db96ce62c1b152.jpg
图46:一名12岁男孩右脚踝的矢状面(A)和轴向(B)CT图像,抱怨中足疼痛,显示跟骨前跟骨并置的非骨性跟骨关节联合(白色箭头)对抗舟骨和继发性退行性硬化和软骨下囊肿形成。

503557c9f2927276fc8b4df20460b63c.jpg
图47:一名30岁男性右脚踝的冠状位CT图像显示根骨距骨骨性联合。

a497eb890e6aaca5bc8c571b43b990d3.jpg
图48:37的右脚踝的矢状T2加权脂肪饱和MR图像(A),轴向T1加权MR图像(B)和轴向T2加权脂肪饱和MR图像(C)年龄较大的女性,患有纤维性跟腱联合,在跟骨前部和舟骨外侧呈水肿(白色箭头);异常的舟骨和跟骨,具有线性低强度跟骨关节界面,提示为韧带联合(白色箭头)。
来源:影领学苑
希望疫情早日结束!
回复 关闭延时

使用道具 举报

您需要登录后才可以回帖 登录 | 注册  

本版积分规则

快速回复 返回顶部 返回列表