查看: 8036|回复: 0

[中枢神经] 中枢神经系统DWI高信号病变病例集

[复制链接]

864

主题

373

回帖

299

日志

荣誉会员

积分
7062
QQ
发表于 2022-11-14 17:48:17 | 显示全部楼层 |阅读模式
中枢神经系统DWI高信号病变病例集。神经科的一系列疾病中,DWI 高信号最常见的自然是缺血性脑卒中的急性期,这个恐怕学医的都知道,但是当你见到主要累及皮层、且不按大脑血管供血区分布的弥漫性 DWI 高信号时,往往需要想到神经科最可怕的疾病之一: 克雅病(CJD, Creutzfeldt–Jakob disease)。近期笔者在临床就遇到两个这样的患者,一个拟诊 CJD,基本意味着宣判「死刑」,另一个目前还未诊断明确,故特意和大家一起回顾下主要表现为皮层 / 皮层下 DWI 高信号的几类疾病。
  
脑炎(包括病毒性脑炎、自身免疫性脑炎等)都有可能出现累及皮层 / 皮层下的 DWI 高信号。脑炎一般不难鉴别,急性起病,有发热、头痛等症状。累及皮层的脑炎会出现癫痫发作、精神症状等,行腰穿查脑脊液常规、生化、病毒抗体、自身免疫性脑炎抗体等可帮助诊断,图 1 为单疱脑炎患者发病 6 天时的磁共振检查结果。

957d8c0d529f9556072e95a8cfbed8f6.jpg

图 1 单疱脑炎,起病 6 天,可见两侧颞叶病灶,右侧为甚,T2WI、FLAIR、DWI 均为高信号,ADC 图为低信号

癫痫介导的脑部影像改变 对于有明确癫痫发作病史的患者,癫痫介导的脑部影像学改变需要考虑,不同于癫痫的病因(肿瘤、FCD 等),癫痫介导的脑部影像学改变往往是可逆的,磁共振上大多表现为 T2WI 高信号,约半数表现为 DWI 高信号,常见的受累部位包括皮层 / 皮层下、基底节区、白质、胼胝体、小脑,而临床上无其他特异性的表现,如图 2 所示。

366d9fd670131c056275c15e57e5aaa0.jpg

图 2 42 岁女性,延长的亚临床癫痫持续状态患者所做的两次头颅 MR 结果。A 为 T2WI,B、C、F 为 DWI,D 为 ADC 图,E、G 为 FLAIR,可见发病 4 天时双侧顶枕叶可见明显 DWI 高信号病灶,T2 相也为高信号,ADC 低信号,发病 25 天时,病灶消失

克雅病(CJD,Creutzfeldt–Jakob disease)是由朊蛋白病毒所致的一类具有传染性、进行性恶化的神经系统变性疾病,主要表现为进行性痴呆、精神障碍、肌阵挛等。病程后期脑电图可见特异性的三相波,部分患者脑脊液 14-3-3 蛋白阳性。此种病目前为止没有任何有效的治疗方式,患者在出现临床症状后一般在半年至两年内死亡。CJD 早期无影像异常,中晚期常出现一些影像异常,比较典型的有花边征(cortical ribbon,又叫飘带征,特点即为皮质 DWI 高信号,常见于散发型 CJD),曲棍球征(hockey-stick sign,指双侧丘脑枕和背内侧丘脑同时对称性受累的 T2、DWI 高信号病变,常见于变异性 CJD)。临床上,进行性痴呆、椎体 / 椎体外系症状、脑电图异常(三相波)患者若出现花边征,常常指向 CJD。图 3 显示一个散发型 CJD 患者磁共振检查结果。

57a7d86023ddc89dc17cb638e3ee9951.jpg
图 3 花边征(飘带征),散发型 CJD 患者,A、B 为 DWI,C 为 ADC 图,D 为 FLAIR。可见患者双侧皮层不对称的 DWI 高信号(箭头),基底节区 DWI 高信号(三角箭头),病灶 ADC 图上为低信号,FLAIR 上高信号

线粒体脑肌病伴高乳酸血症和卒中样发作
线粒体脑肌病是一组累及多系统的复杂疾病,伴有广泛的生化和遗传缺陷。线粒体脑肌病伴高乳酸血症和卒中样发作(MELAS)是研究相对较多的一类线粒体脑肌病。卒中样发作是 MELAS 的主要临床特征。尽管 MELAS 卒中样发作常在病程早期快速而完全的恢复,可是一旦第一次卒中样发作发生,患者的神经功能状态会持续恶化。卒中样发作在临床上可表现为多种神经系统症状,如癫痫发作、头痛、意识状态改变、局灶性无力、视力下降、感觉缺失、构音障碍和共济失调。典型的 MELAS 磁共振病变多分布在皮质和皮质下白质,深部白质不受累,表现为 T2WI、DWI 高信号类似卒中样表现。磁共振波谱可检测到梗死灶及其他脑部未受累区域中乳酸的存在。典型磁共振表现如图 4 所示。

8483823e7996eb758634d860a3c304aa.jpg
图 4 MELAS 患者,A 为 DWI,可见皮层 / 皮层下 DWI 高信号,B 为 ADC 图,可见病灶低信号,C 为 FLAIR,可见病灶高信号,D 为该患者的慢性期 FLAIR,可见病灶几乎消失,受累部分脑组织萎缩

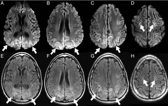
弥漫性脑部缺血 - 缺氧改变
DWI 和 ADC 图是显示早期缺血 - 缺氧脑组织信号改变最好的序列(优于 T2WI 和 FLAIR),早期即有明显的 DWI 高信号及 ADC 低信号改变,最常发生在分水岭区域的皮质 / 皮质下,基底节区也常累及。有明确脑部弥漫性缺血缺氧病史,如心跳骤停,该疾病不难诊断。图 5 为典型影像表现。

cdb3bc9e7caf60004e56f3980f976d28.jpg
图 5 心跳骤停患者,弥漫性脑部缺血 - 缺氧改变,A~D 为 DWI,E~H 为 FLAIR,可见弥漫的双侧皮层高信号


其他也有一些疾病可以使皮层 / 皮层下 DWI 高信号改变,如可逆性后部脑病综合征(PRES)、偏瘫型偏头痛、moyamoya 病等。
一些散发型或家族性偏瘫型偏头痛患者进行 MRI 扫描可能会发现皮层 T2WI/FLAIR 高信号,而 DWI 可以表现为等信号、高信号、低信号。这些信号改变是短暂性的。

PRES 的典型病变为累及后部顶叶及枕叶的双侧病变,中动脉和后动脉供血区分水岭常常累及。但是,皮质也是其常累及部位之一。PRES 一般不显示 DWI 高信号,但涉及到局部梗死的时候,DWI 可以显示高信号,这往往提示预后较差。

回顾到这里,累及皮层 / 皮层下的疾病主要如上所述,其中很多情况需要患者有明确的病史支持,如癫痫 / 癫痫持续状态、大脑缺血 - 缺氧、偏头痛病史等,而另外几种通过其他临床资料也不难鉴别,必要时,MELAS 可行磁共振波谱、基因检查等,CJD 则需要完善脑电图、脑脊液 14-3-3 蛋白检查。

DWI原理简介
为了理解DWI的概念,必须要理解细胞微环境内的自由扩散和扩散受限。1827年布朗用显微镜观察悬浮在水中的花粉颗粒时,发现花粉颗粒在水中不停地作无规则运动。自由水分子不停的随机运动,即布朗运动。相反,细胞微环境内的水分子运动被细胞分隔间的相互作用所阻碍。

DWI序列是反应水分子自由弥散的序列。DWI高信号的原因主要包括两种,一种是真性弥散受限,其ADC值降低;另一种是弥散未受限的高信号,其ADC值不降低,主要是因为T2投射效应。弥散受限的原因主要包括三类:一是细胞毒性水肿,二是细胞密集度增加,三是液体的粘稠度增高。

b1d33949c1d1c9d168048d61f5d62744.png
图1  弥散受限原理
T2投射效应是由于T2的延长导致的DWI的高信号,而ADC值不降低。因此DWI上的高信号病灶可能反应了强T2透射效应,而不是真正的弥散减少(图2)。DWI高信号的常见疾病包括脑梗死、脑脓肿、脑肿瘤、脱髓鞘疾病、代谢中毒性疾病、CJD等。

22fbdc923d773f656a81083fa09f0a46.jpg
图2  T2透射效应(35岁女性,多发性硬化)

脑梗死
DWI序列是诊断脑梗死的主要检查方法。在脑梗死最初几分钟内,脑组织能量代谢受到破坏,Na-K+/ATP酶和其他离子泵发生衰竭,使细胞内外的离子失去平衡,大量的细胞外水进入到细胞内,形成细胞毒性水肿。整个梗死区的含水量并未增加,只是细胞内、外的含水量发生了变化。
此时,T2WI、T1WI和FLAIR都不能显示病灶,只在能显示水分子弥散运动的DWI才能显示病灶。

bb71c42476a6d235ffaaa7f9ddf3db36.jpg
图3  脑梗死MRI表现(发病2小时)
细胞毒性水肿,细胞内水分子增加,引起细胞肿胀,造成细胞外间隙变小,细胞外水分子减少,细胞外间隙扭曲变形,梗死区水分子弥散运动减低,ADC值变小,DWI显示为高信号,ADC图显示为低信号。最早在30分钟内即可显示DWI高信号。随着时间的延长,DWI信号逐渐减低。

276be96efacb607b75347f42064f8a90.png

脑脓肿
我先放两张环形强化的图,大家可以猜猜哪个是脑脓肿,哪个是脑肿瘤。
52130f9e0a136fd72dd4650ecd732f35.jpg
图4  环形强化病灶对比
DWI是鉴别脑脓肿与高级别胶质瘤、转移瘤等良好手段。对于上图两个病例,其实加做一个DWI序列的话,就很好区分。左图患者DWI明显高信号,ADC图低信号,是脑脓肿;右图患者DWI低信号,ADC图高信号,是脑肿瘤。

a8abe0d0bf338a8cb53f0a465be33b38.jpg
图5  环形强化对比(脑脓肿 vs 胶质母细胞瘤)

脑脓肿主要是血源性感染,额、顶叶最常见,后颅窝小于15%,多位于灰白质交界处。一般为单发,多发少见(免疫抑制状态多见)。脓液表现为长T1长T2,FLAIR低信号,DWI高信号,ADC低信号;脓壁则包含了纤维成分,T1呈等/稍高信号,T2等/稍低信号,均匀环形强化(较光滑,深部薄,浅部厚);可以有子灶(卫星灶),破裂后形成小脓肿。

脓肿壁光滑程度:化脓性>结核性>真菌性。DWI均匀程度:化脓性、结核性较均匀,真菌性较不均匀。

1f62fdc8e4477dec2f0f82816f6c0570.jpg
图6  脑脓肿(弥散受限)
临床上脑脓肿有时较难与转移瘤等疾病鉴别,鉴别要点可参见表2。

e5c776204bec222cb21f25ac695cdfde.jpg

脑肿瘤

脑肿瘤的DWI信号主要取决于ADC值(细胞密度)与T2信号。低ADC值反应了高细胞密度和减少的细胞外间隙;高ADC值反应了低细胞密度,低细胞核浆比,细胞外基质增多(如图9)。高级别胶质瘤(包括间变性胶质瘤、间变性少突胶质细胞瘤、胶质母细胞瘤等)、淋巴瘤、转移瘤、髓母细胞瘤、中枢神经细胞瘤、原始神经外胚层肿瘤PNET等脑肿瘤,通常表现为DWI高信号、低ADC值。

相对ADC值:淋巴瘤<高级别胶质瘤<转移瘤。

对于胶质瘤而言,低级别的胶质瘤细胞密度稍低,其DWI呈等或稍高信号,高级别的胶质瘤则细胞密度较高,其DWI呈高信号,ADC值降低。这不是绝对的,因为DWI高信号还包含了T2信号,因此,有些肿瘤DWI高信号部分同时包含ADC低信号(弥散受限的部分)和等/高信号(T2投射效应的部分)。
不同脑肿瘤的典型影像学表现

37dddba67d36230c2b8ab36eb11489b8.jpg
图7  毛细胞星形细胞瘤(DWI等信号)

055600905dcba97b6bed2eb42bd1450f.jpg
图8  低级别少突胶质细胞瘤(DWI高、ADC高)

111275fe97e29ba34f780988100f3f86.jpg
图9  胶质母细胞瘤(DWI高、ADC低)

1c9d72486f1bece178f9f5f3ee3cfaad.jpg
图10  肺癌脑转移(DWI高信号、ADC降低)

cc58b10edbbcd36c4d8ca3bca62c5b32.jpg
图11  淋巴瘤(肿瘤细胞密集,DWI高、ADC低)

45a3f7d6906c65c3cd3b51d0412c3a36.jpg
图12  髓母细胞瘤(DWI高、ADC低)

e5f932940542b3c6c2d7d07ce99f6c18.jpg
图13  中枢神经细胞瘤(肿瘤细胞密集,DWI高、ADC低)

cbdaf37f9203054bc470faf7e19cb098.jpg
图14  原始神经外胚层肿瘤PNET(DWI高、ADC低)
来源:放射沙龙头颈医学影像联盟病例集

版权申明:所有文章系出于传递更多信息之目的,且注明来源和作者,不希望被转载的媒体及个人可与我们联系,我们立即进行删除处理。


希望疫情早日结束!
回复 关闭延时

使用道具 举报

您需要登录后才可以回帖 登录 | 注册  

本版积分规则

快速回复 返回顶部 返回列表