查看: 12722|回复: 0

[头颈] 颈部淋巴结分区影像解剖

[复制链接]

864

主题

373

回帖

299

日志

荣誉会员

积分
7050
QQ
发表于 2022-11-12 12:04:32 | 显示全部楼层 |阅读模式
颈部淋巴结分区影像解剖。来源:缤纷影像

本文基于美国头颈学会和美国耳鼻喉科学会-头颈外科提出的命名法。简要描述了它们的主要解剖边界、与这些淋巴结并列的正常结构,以及在这些水平上存在转移危险的主要肿瘤部位。

a1c735396bb2a5f01bd60fedab0f7d77.jpg
边界重要的地标是:舌骨环状软骨
颈动静脉胸锁乳突肌胸骨柄
df670bbae9d40c476d558a1febe27070.jpg
颏下和下颌下I级的淋巴结有从口腔、前鼻腔、面中部和颌下腺的软组织的癌症转移的风险。
49d5f583699ebe8ff723961ff6490589.jpg
be78d363f6b90397db1b3ffea215e607.jpg
a0f7fea10dec3a8446b178a05a6e79be.jpg
4f7c23b8e2f8bdfe2e5b6dcc26b4445b.jpg
II -上颈静脉II级接受来自面部、腮腺、颌下、颏下和咽后淋巴结的淋巴管。
II级也直接接收来自鼻腔、咽、喉、外耳道、中耳、舌下和颌下腺的集合淋巴管。通过在颈内静脉后缘画一条线,可以将II级分为IIa级和IIb级。
1dc0fb9c149ad82de68adc9b268f5030.jpg
IIa和IIb中的淋巴结具有来自鼻和口腔、鼻咽、口咽、下咽、喉和主要唾液腺的癌转移的风险。IIb更可能与口咽或鼻咽的原发性肿瘤相关,而较少与口腔、喉或下咽部的肿瘤相关。
cc3c1c41c05082895ca71f835eb11c1c.jpg
39c20bcacca7f5718eb69bdf36c211df.jpg
c0b1f32deb70c5522f3211d6c1d4d025.jpg
39b6b7e685fb77f648cb320ec0d83b1c.jpg
b4bc3cda1dc692f5b02cfb568ed3a546.jpg
30b3d933fc1131555302872ed271feae.jpg
9bc4415d7e609562e9a1c7161cc617b3.jpg
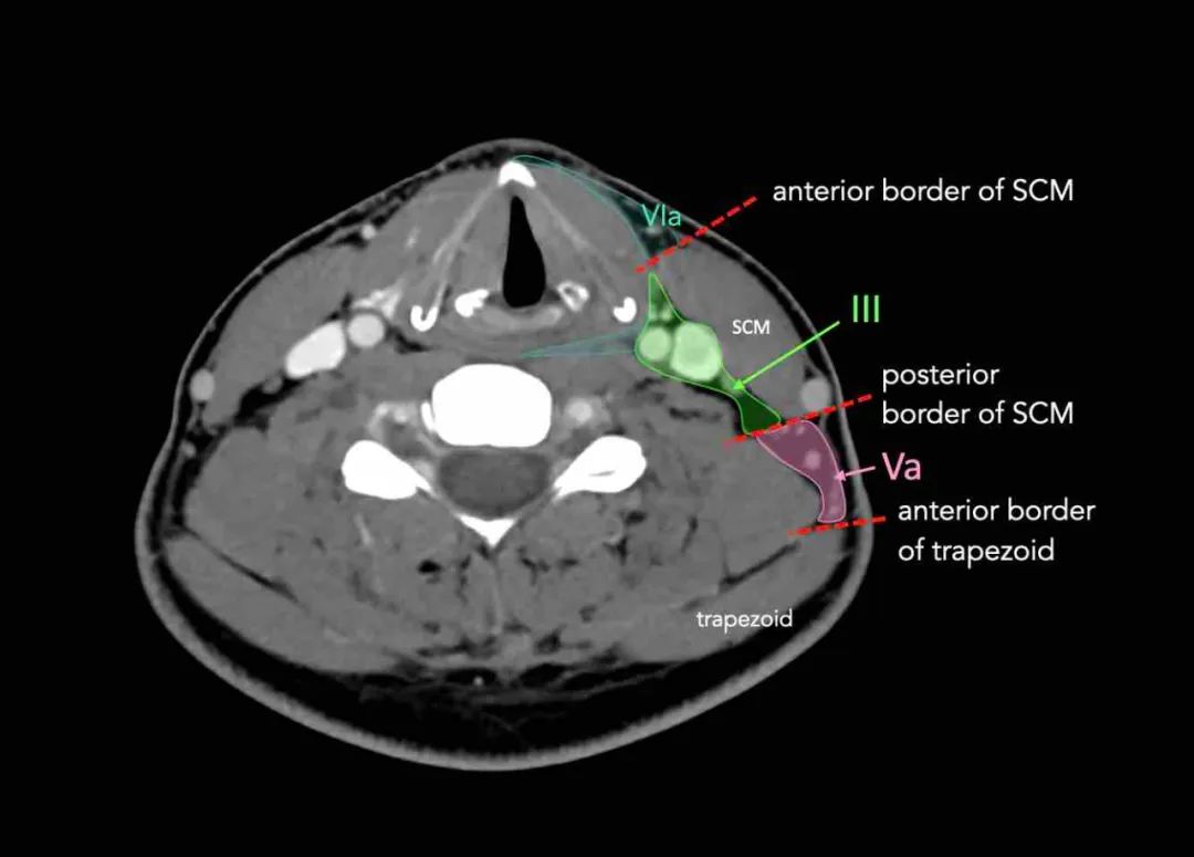
III -中颈静脉III级接受来自II级和V级的传出淋巴管,以及来自咽后、气管前和喉返淋巴结的一些传出淋巴管。
它从舌根、扁桃体、喉、下咽部和甲状腺收集淋巴管。
50a107bc4ac074509d2a314b562988f5.jpg
环状软骨的下缘是III和IVA之间的边界。III级淋巴结有来自口腔、鼻咽、口咽、下咽和喉的癌症转移的风险。
f14ecca51481bd3c571ab60d4763e56c.jpg
ca4c8cbedfcda8eb18f0ae27d0c76428.jpg
dae72891dedc9533755006c05ce00bcf.jpg
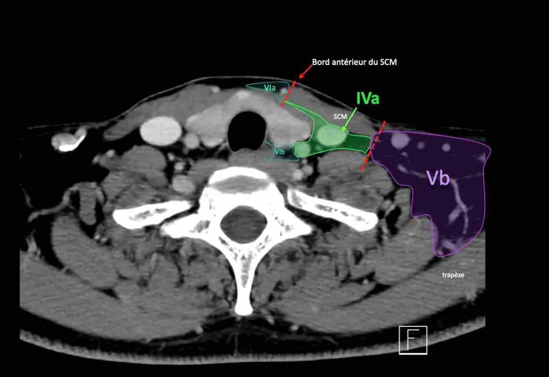
IV -下颈静脉和锁骨上内侧IVa和IVb水平之间的边界设置在距胸锁关节2 cm的颅侧。
4c09fc285da94c9ef9fcdf8a8ffc9b48.jpg
IVa级
这些淋巴结有隐藏来自下咽癌、喉癌、甲状腺癌和颈段食道癌的转移的风险。
IVb级这些淋巴结有隐藏来自下咽部、声门下喉、气管、甲状腺和颈段食管的癌症转移的风险。
56fa81df1b62df87d71e20d33cd0f214.jpg
516b48b81057a5176bebe43a6dc78a34.jpg
46349c42734c8cc1cabd127ed28d7fc8.jpg
92a8107861116e868abad6aa3c9ef4e0.jpg
e89e68d09569f3331a84ed6e6bdc23d5.jpg

V -颈后和锁骨上第五层包含位于胸锁乳突肌后面,围绕着副神经和颈横血管的下部。
第五层的淋巴结通常与鼻咽、口咽、头皮后部的皮肤结构和甲状腺的原发癌有关。
1cab143b6d610238b76432e7e4c48109.jpg
Vc水平-锁骨上
该层面包含位于从颈横血管向下至距胸骨柄颅侧2 cm界限的淋巴结(Va和Vb层面)的延续中的锁骨上外侧淋巴结。
它部分对应于锁骨上窝的区域。Vc级接受来自(Va级和Vb级)的传出淋巴管,通常与鼻咽肿瘤相关。 颈横动脉
滚动浏览图像,查看颈横动脉的解剖结构。
07628aac2b6708e3ff65cbe0fd6574a2.jpg
e975a9e18c4914dfbb16930fd8ee5eca.jpg
bbfe502cc90b2f7df77181ddffcb7907.jpg
55e8b558e027b7333c837f2dd8246d97.jpg
4e0feaab727b3d53d3748ac014e83312.jpg
e1bdaed8bdbab93ff2c31c328bb13eed.jpg
dd55a22a13cc683b5ff11533b2e57ed1.jpg
6a3dea98d02cf989b3db1d0ec6915ddf.jpg
5f96d33bd64abd2dcf6a8d3d4c568cab.jpg
bfec80d387d522cb8f1e245eebf537a0.jpg
cd0e58c172f02b58daa727670a0287d0.jpg
bb97196a51f02cef2c69cd174bfe4520.jpg
6f7cc1ba6d3944be8cd284bc2ec1b061.jpg
f25a5e2ca2fac0a584311c59e5467995.jpg
VI -颈椎前路这一层包括浅表的颈前淋巴结(VIa层)和较深的喉前、气管前、气管旁和喉返神经淋巴结(VIb层)。
164b61751e6efe02f6fdf434dbf9064a.jpg
VIa
这一层包含表浅的颈前淋巴结。VIb
该水平包含在颈总动脉的内侧边界之间。
该区域中的节点有:
喉前淋巴结在喉和环状软骨的前面气管前面的气管前淋巴结气管旁淋巴结也称为喉返神经淋巴结
88cf75b9a801f1ebe9b43643e7a326ee.jpg
42f0bd1f94c98d9e16f71be66901d51f.jpg
134c460f375d2b4dc01041b1e79638dd.jpg
8256c010253caaf9895ce9a6b3b86952.jpg
7f0f951751d65778552b41bee0eb862b.jpg

0ecb33b8aec52dfa7d3edd01ddfd42c9.jpg
本文来源于radiologyassistant,著设如有错误,请留言指正,谢谢!
516b48b81057a5176bebe43a6dc78a34.jpg
回复 关闭延时

使用道具 举报

您需要登录后才可以回帖 登录 | 注册  

本版积分规则

快速回复 返回顶部 返回列表